
Medical professionals around the world have sent out a harrowing warning over a dangerous fungus which recently struck a man's brain in the United Arab Emirates.
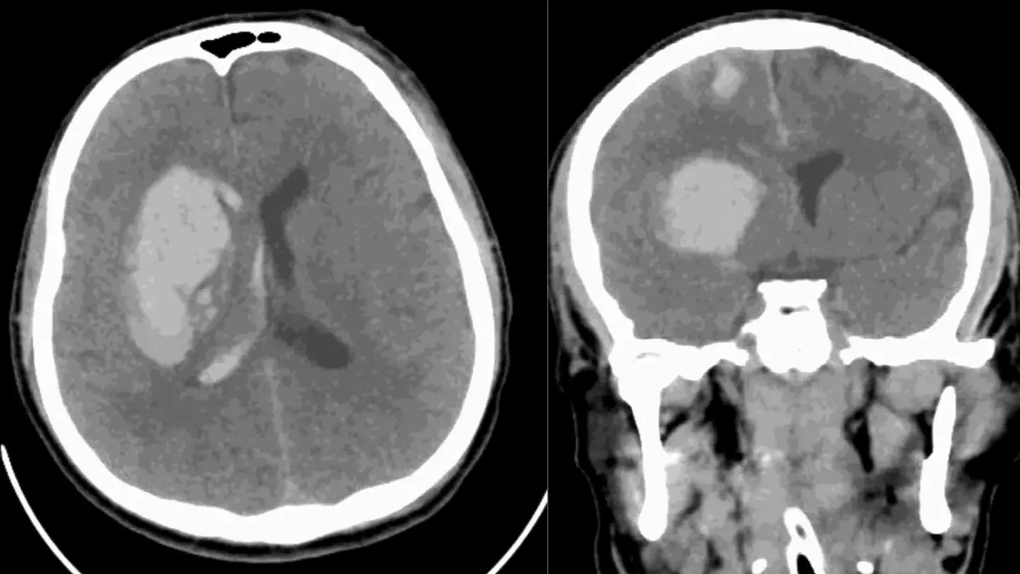
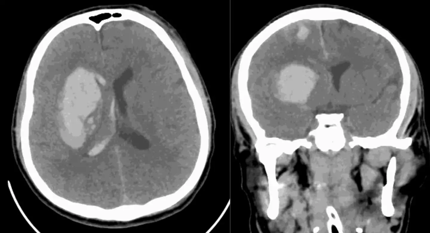
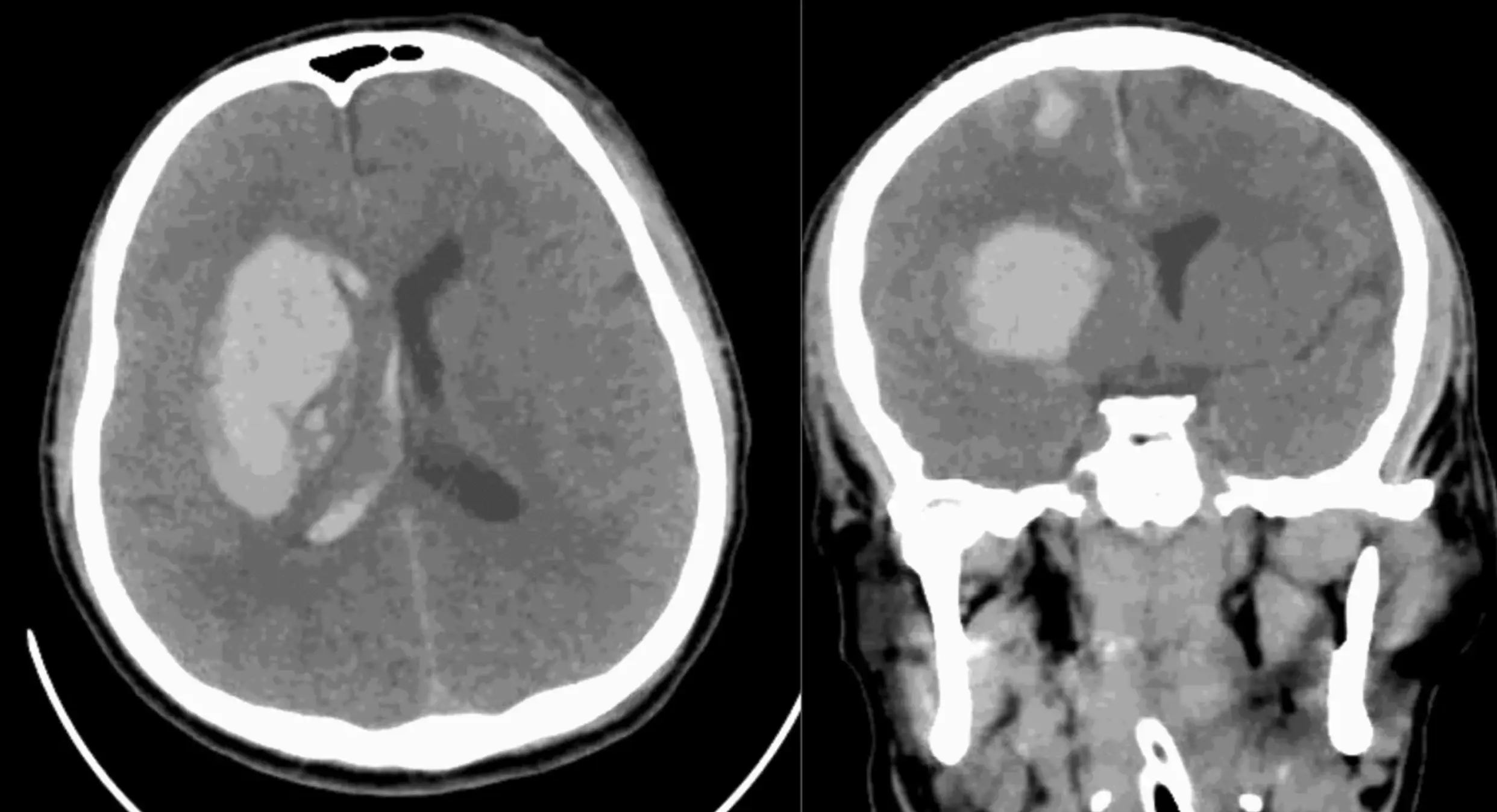
The drug-resistant fungus infected the 34-year-old just three months after suffering from a traumatic brain injury in a car crash.
He was treated in intensive care as medics dealt with bleeding from the mouth, a severe scalp laceration, and several cuts.
Part of his skull was removed to relieve pressure on his brain, but after further surgeries and antibiotic treatment, tests revealed that he had been infected with Candida auris.
Advert
First found in 2009, the fungus is able to survive on the skin and on hospital surfaces for long periods of time, and has the capability to spread to the blood, brain, spinal cord, bones, ears, lungs, and more in the body.

What is Candida auris?
Candida auris (C. auris) has been described by the World Health Organisation as one of 19 lethal fungi posing a 'serious threat to humanity'.
Currently spreading in hospitals around the world, the fungus has been linked to deaths around the world after having been first identified in 2009.
Advert
Fatality rates are around one in three cases.
Fungus is a type of microorganism which can make you ill, though it rarely infects healthy individuals, posing a threat to people in hospital instead.
Those with weakened immune system are most at risk, with C. auris being able to survive on surfaces in hospital environments for weeks, even proving to be resistant against medical treatments and disinfectants.
How does Candida auris spread?
The fungus spreads through contact with contaminated surfaces, medical equipment, or through contact with people who have been colonised.
Advert
In fact, individuals can carry the fungus on their skin without developing an infection, though they may become infected if they enter the body.
C. auris can also spread between people in healthcare, having been found on hospital items like radiators, sinks, medical equipment, temperature probes, stethoscopes and even blood pressure cuffs.

What makes Candida auris so dangerous?
C. auris can develop antifungal resistance fairly quickly, being able to withstand several medications, while strains around the world have even developed resistance to all treatments.
Advert
Healthcare-related outbreaks have taken place all around the world, including the UK.
The fungus is also easily spreadable and can enter the body via a wound, or the insertion of medical equipment such as a catheter.
Infections can range in severity, with some carrying C. auris with no symptoms, and others developing serious infections which can affect their entire body.
Who is most at risk of Candida auris?
Those in healthcare settings with a weaker immune system are most at risk of catching the fungus, with the UK Health Security Agency (UKHSA) specifically warning against:
- Patients with long hospital stays
- Patients who have received healthcare abroad in the last year, especially from countries with ongoing outbreaks
- Intensive care unit patients
- Those with medical devices that go into their body
- People who were treated with specific antibiotics
Those who carry C. auris without being infected, known as being 'colonised', could carry it for months or years, increasing the risk of them or someone near then developing an infection.
Advert

How can you prevent contracting Candida auris?
The UKHSA has advised that people keep their hands clean with alcohol-based sanitisers or washing with soap and water, especially if your hands are visibly dirty.
Healthcare professionals are actively surveilling areas to identify infected patients early on, including those who have stayed overnight in a medical facility overseas.
Management of patients colonised or infected with C. auris in healthcare settings is also more strict, while thorough cleaning of hospital environment with the correct disinfectant is being practiced now.
Single-use equipment is being utilised if possible, while reusable items are being decontaminated completely.
Antimicrobials are being used more carefully by professionals too, to stop C. auris from developing a resistance to treatments.
Topics: Health, World News, UK News