
As much as we might think we know about the human body, there are always things showing up that most of us without medical degrees don't know what they mean.
And given the fear around diseases such as cancer, and the strange symptoms that they can often present, it's easy to worry when something pops up on your body that you don't immediately recognise.
Whether it's jock itch or a red spot rash, you should always get yourself checked out if you are worried.
One of the more common sights on the human body are little white spots, which can easily not be noticed or are often disregarded as just plain old spots.
What are calcium deposits?
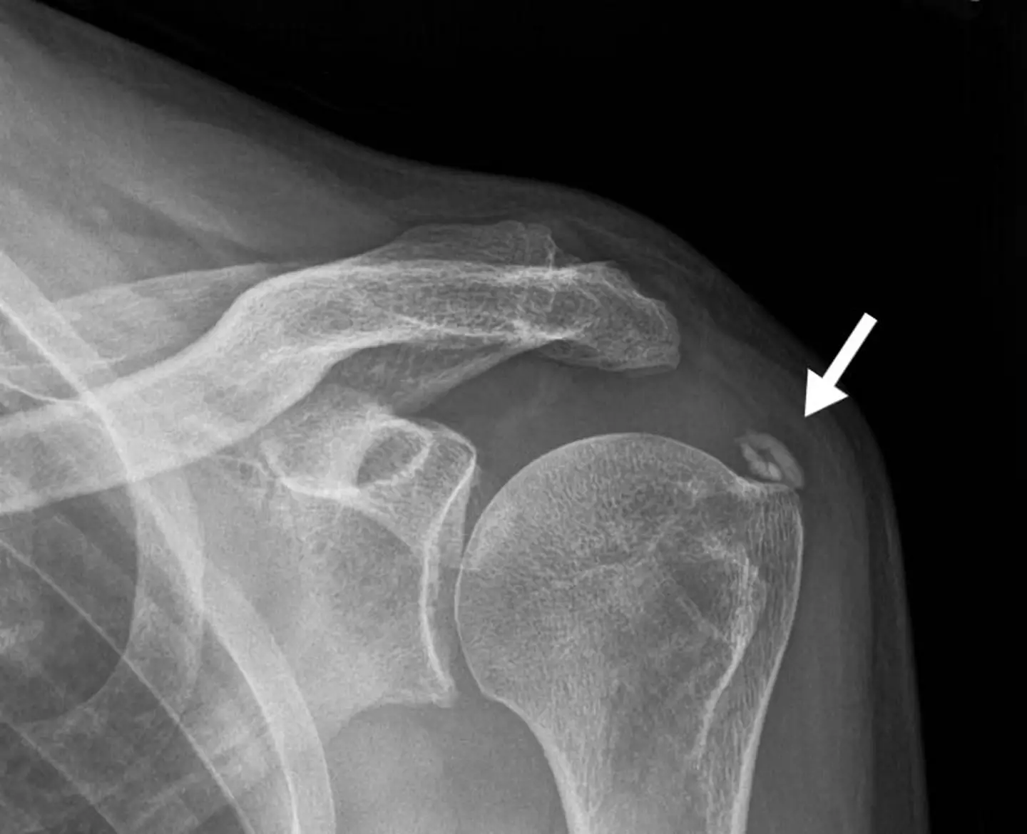
However, these small white spots actually have a name, and they're called calcium deposits, or 'calcification' if you're feeling fancy.
Advert
They occur when calcium, which is most commonly found in our teeth and bones (as anyone who's ever eaten Petit Filous will know), builds up in the body.
Although 99 per cent of the calcium in the body is found in those hardened white structures in our skeleton, some of it is found in our blood, and when it travels to our organs, blood vessels or tissue, it can lead to problems.
Why do we get them?
Calcium deposits can appear all over the body but are most commonly found on the skin or teeth, but can also be seen on shoulders and breasts, as well as internally on arteries, the brain and the kidneys.
A variety of different things can lead to calcium deposits, and strangely enough, having a diet high in calcium isn't thought to be one of them. Other causes include infections, past surgeries or cancer treatments and simply ageing.
Advert
.jpg)
Calcium metabolism disorders and certain autoimmune disorders can also lead to people having calcium deposits.
Are they harmful?
Some calcifications are harmless but hardened deposits on your brain or heart can have serious complications.

Advert
Often you wouldn't have any symptoms if they appeared on your skin, other than potentially some slight pain or itching, but if they are found on your brain, it can lead to significant issues such as trouble walking and tremors, while psychological issues such as dementia and memory loss can also occur.
How are they treated?
Treatment, of course, will depend on the calcification's location, as you shouldn't need any treatment if they simply appear on your skin and don't cause any pain or discomfort.
However, doctors will seek to help through the prescription of steroids if they are causing issues on your shoulders, while a mammogram might be requested if they are found on breasts, due to the possibility of them leading to breast cancer.
Changes to your diet are recommended if they are found on your kidneys or arteries, while sadly there is little your healthcare provider would be able to do if they were found on your brain, other than help to manage the symptoms.
Topics: Health