
*WARNING: CONTAINS GRAPHIC IMAGES*
An impotent man ended up with insulation foam inside his penis and bladder after a sex act went badly wrong.
The unnamed 45-year-old from the US had been inserting objects into his urethra (the tube that carries urine out of the penis) as an aid for erectile dysfunction, and his partner had the idea of slotting in the straw attached to a can of insulation foam.
Disastrously, they inadvertently pressed the button, shooting the foam up his penis.
According to Urology Case Reports, the man didn't go to hospital until three weeks later as the pain was increasing and he was having difficulty urinating.
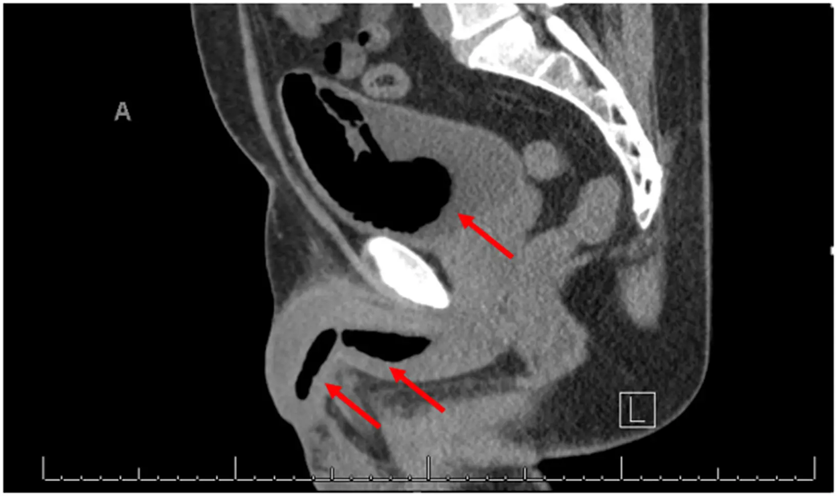
A computed tomography (CT) scan showed a hardened mass of foam in his bladder, measuring 10.7cm x 4.3cm x 6cm, and more in his penis, measuring 16mm in width.

Doctors were able to remove the foam from his bladder by creating an opening in the wall of the organ, but the penis foam proved more problematic.
Medics attempted to pull the foam out of the urethra; however, he had urethral stricture disease - whereby the passage becomes scarred - and the narrow portions of his urethra anchored the spray foam in place.
Surgeons were ultimately forced to perform a perineal urethrostomy, creating a new opening between the scrotum and the anus, to remove the remaining fragments.
Following the operation, three tubes were inserted to help him pass urine until his urethra is repaired - though this will only happen if he passes a psychiatric assessment.
Discussing the case in Urology Case Reports, urologists wrote: "Reasons for insertion of a foreign body into the genitourinary tract include mental illness, borderline personality disorder, sexual gratification, or temporary release from imprisonment to seek medical attention.

"Unfortunately, many patients are repeated offenders and thus psychiatric evaluation to prevent recurrent injury should be considered.
"Our patient achieved a stable relationship partner, but has been homeless and thus sporadically followed up with suprapubic tube changes.
"He has not been referred to psychiatry as he has not had any repeat episodes since his operation, but would be referred prior to consideration of reconstruction when he achieves a stable living environment."
The practice of inserting objects into the urethra is known as 'sounding' and it is often used as a 'home remedy' for erectile dysfunction. However, as you might expect, it's a remedy that can do more harm than good.
Urologist Giangiacomo Ollandini, who works at Milton Keynes University NHS Trust and health clinic International Andrology London, told MailOnline: "Some persons end up practicing sounding because they are not able to have good erections anymore, and they insert a stiff rod within the penis to be able to have intercourse.
"I have seen urethras severely injured by repeated sounding, and unfortunately they rarely recover very well."