
A shocking discovery was made when a tiny tot was taken to hospital after having been complaining of stomach aches, and nobody could have expected the outcome.
A mum has revealed that initially, it was believed that her son was suffering from a ‘stomach bug’ until she pushed healthcare professionals to investigate further.
It all began when mum Madeline Dunn had to go for an appointment on 13 May, and left her sons - 18-month-old twin boys Kai and Zayden - with friends.
However, the 26-year-old explained that Kai first started to complain after she gave him a drink as soon as he came home. But like many parents, she didn’t think much of his reaction at the time.
Advert
Hours later at 11pm when he woke up 'screaming to the point where she couldn't get him to calm down', Madeline realised that something more sinister was at play.

She explained that her tot screamed the entire way to the emergency department, where doctors initially told her that he simply had a stomach bug.
Madeline, from Texas, US, said: "At around 11pm that night he started screaming to the point where we couldn't get him to calm down.
"Me and his dad were passing him back and forth between each other and we made the decision to bring him to the hospital because he was also drooling really bad.
Advert
"He screamed from the time I left the house with him all the way to the hospital and then while they were doing his blood pressure and everything.”
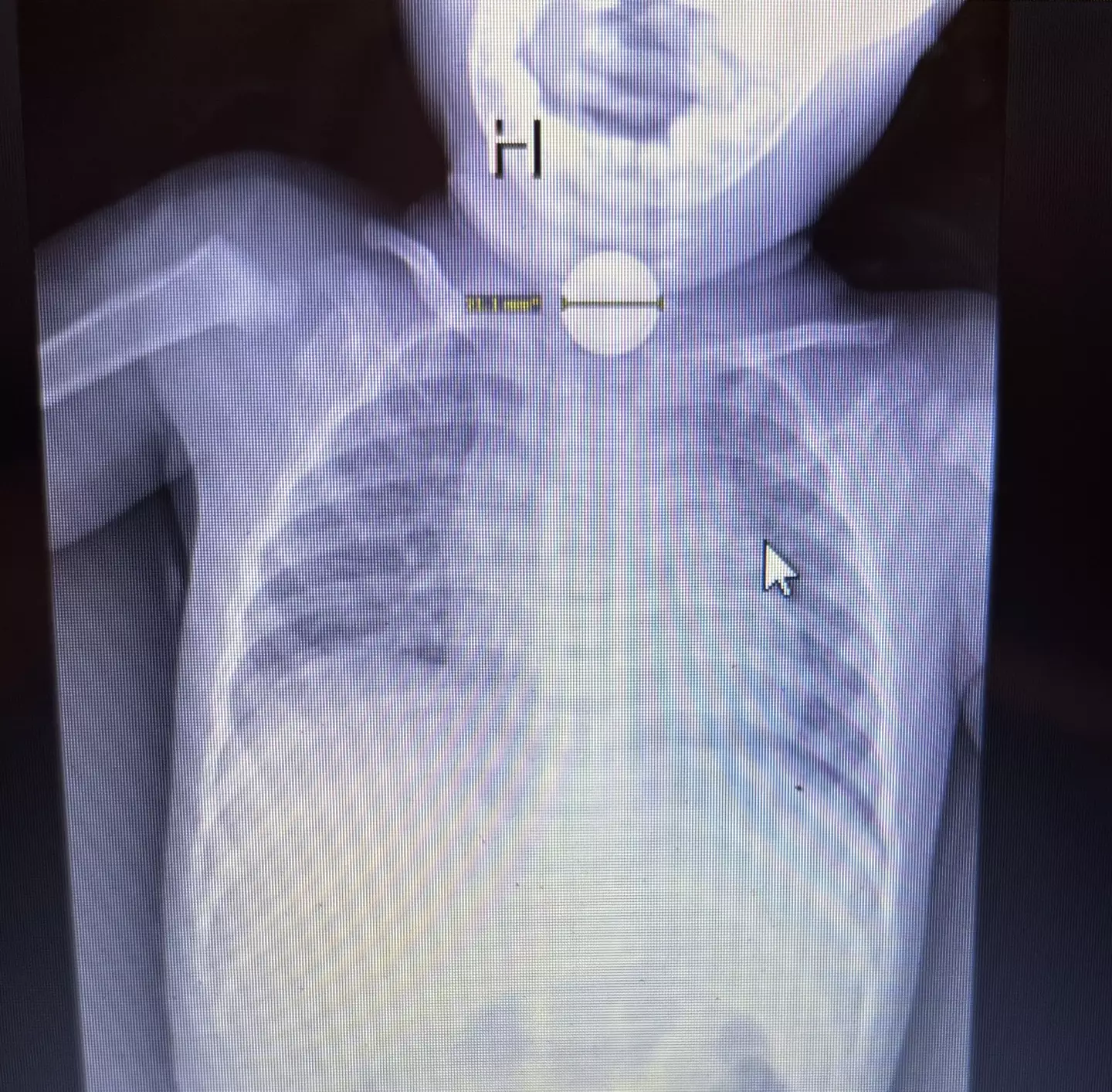
However, Madeline believed that it was something far worse and after pushing for an X-ray scan, it was revealed that Kai had swallowed a button battery which was burning its way through his throat.
She said: "I told the doctors I have a fear of them [the twins] swallowing something they're not supposed to so I asked if there was anyway we could do an X-ray.

"They said they could do one to make me feel better.
Advert
"When we were walking back to the room there was already a team of doctors waiting in the room with him and they had the x-ray pulled up which showed the button battery in his throat.
"They were saying he'd swallowed a button [battery] - it's code red. They started shoving honey down his throat and getting him prepared to rush him into surgery.”
She explained that after the battery was discovered, doctors told her she 'saved her baby's life', and an hour later Kai was rushed in for emergency surgery to remove the battery.
Shockingly, Kai’s oesophagus was left blackened thanks to the battery and a CT showed that it had been left with a hole in it.

Advert
After it was discovered, Kai spent a week in hospital where he was given antibiotics, along with a feeding tube being fitted.
However, the mother then said doctors were unable to forecast whether the boy would survive.
After spending time in the hospital, doctors warned that he was ‘lucky to have survived’ and that the hole thankfully closed and he was discharged.
While mum has 'no idea' where the button battery came from, she’s adamant about raising awareness about the dangers they pose.
The toddler has since been taking part in weekly treatments to stretch out his oesophagus after it rightened because of the build-up of scar tissue.
Advert
Madeline said: "I kept asking them if they knew if my baby was going to live or not and they told me that they couldn't say because with the hole, if he caught an infection it could have spread to areas outside of the oesophagus.