• iconNews
  • videos
  • entertainment
  • Home
  • News
    • UK News
    • US News
    • Australia
    • Ireland
    • World News
    • Weird News
    • Viral News
    • Sport
    • Technology
    • Science
    • True Crime
    • Travel
  • Entertainment
    • Celebrity
    • TV & Film
    • Netflix
    • Music
    • Gaming
    • TikTok
  • LAD Originals
    • FFS PRODUCTIONS
    • Say Maaate to a Mate
    • Daily Ladness
    • UOKM8?
    • FreeToBe
    • Citizen Reef
News

News

Today's headlines and latest breaking news from the UK and around the world.

Entertainment

Entertainment

The latest entertainment news, TV, showbiz stories and gossip from the UK and worldwide.

Community

Community

From feel good stories to unbelieveable real life events, we've got the latest community stories.

Celebrity

Celebrity

Breaking celebrity news and the latest showbiz gossip. All the stories you cannot afford to miss.

True Crime

True Crime

From cold cases and documentaries to current events, we have all the latest true crime news and stories.

3 mins ago
21 mins ago
an hour ago
3 hours ago
13 hours ago
15 hours ago
17 hours ago
18 hours ago
19 hours ago
20 hours ago
21 hours ago
22 hours ago
a day ago
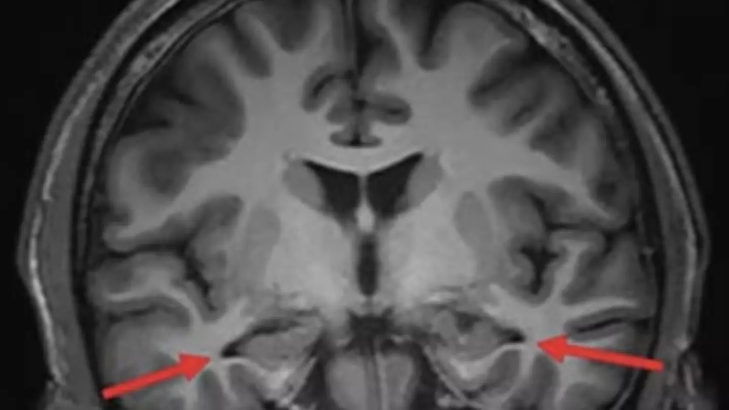
  • Journal of Alzheimer’s Disease
    3 mins ago

    Brain scan of 'youngest ever' Alzheimer's patient shows devastating impact of disease

    The teenager, from Beijing, first began experiencing symptoms when he was still in school

    News
  • Washington County Attorney’s Office
    21 mins ago

    Ruby Franke's chilling police interview as new doc shows true reality of her horrific acts

    The unnerving footage from 2023 has resurfaced weeks after the release of a Netflix doc

    News
  • Joe Raedle/Getty Images
    an hour ago

    Donald Trump slammed after posting fake Wikipedia page declaring himself ‘Acting President of Venezuela’

    Some said he's looking for an Oscar after missing the Nobel Peace Prize

    News
  • Getty Stock Image
    an hour ago

    Retired Army Colonel issues fresh conscription warning to two specific groups of Brits

    The UK army has reached historic lows in terms of size

    News
  • Alpha News/Department of Homeland Security
    3 hours ago

    ICE agent’s words immediately after killing Renee Good revealed in new footage

    Department of Homeland Security (DHS) spokesperson Tricia McLaughlin claimed Good was shot when she attempted to 'weaponise' her car

    News
  • Getty/Gareth Cattermole
    13 hours ago

    Sam Thompson will be 'unable to speak' after vocal chord surgery

    The internet personality issued an update on his health

    News
  • Witthaya Pransognin/Getty
    13 hours ago

    Ketamine expert explains 'pot of blood' symptom faced by new patients

    Luis Corselli was left needing the toilet every 15 minutes after his bladder became the size of a 'shot glass'

    News
  • Kennedy News and Media
    15 hours ago

    Man left with 'shot-glass' bladder after ketamine ruined his life issues grave warning

    He was left needing the toilet every 15 minutes

    News
  • NASA
    15 hours ago

    Mankind has received a mysterious 10-second signal from deep space and no one knows where it came from

    The signal came from a supernova which exploded when the universe was only 730 million years old

    News
  • Getty Stock
    15 hours ago

    Painkillers prescribed to 4.5m Brits given addiction warning after safety review

    They had a look at it and decided there needed to be a stronger warning

    News
  • Steve Christo - Corbis/Corbis via Getty Images
    17 hours ago

    UK approves new dose of weight loss drug that's three times as powerful

    The trials of the stronger Wegovy dose found weight losses of up to 25 percent

    News
  • Instagram
    17 hours ago

    Horrific acts YouTube mum Ruby Franke admitted to in court as new doc shows true reality

    Evil Influencer: The Jodi Hildebrandt Story includes harrowing footage of the moment Franke's son finally escaped and raised the alarm

    News
  • ITV
    18 hours ago

    Dementia expert warns nearly half of cases could be prevented by three lifestyle changes

    A leading dementia expert appeared on This Morning, where she shared three lifestyle changes to help prevent against 45 percent of dementia

    News
  • Getty/Stephen Mautern
    18 hours ago

    Expert reveals chances of ICE officer who fatally shot Renee Good facing charges

    Renee Good was fatally shot by an Immigration and Customs Enforcement (ICE) officer on Wednesday

    News
  • Alpha News
    18 hours ago

    Final words of Renee Good revealed in new angle from ICE agent’s phone

    The late mum could be heard speaking to an ICE agent moments before the fatal shooting

    News
  • Nordic Spirit
    19 hours ago

    The Ultimate Guide to Not Hating January

    Because, let’s face it, the first month of the year can feel like a bit of a slog, especially with your bank balance still recovering.

    News
  • Ullstein bild via Getty Images
    19 hours ago

    Simulation shows terrifying way cosmonaut died after falling from space

    Vladimir Komarov was the man who fell from space

    News
  • Getty Stock
    19 hours ago

    Less than 50 people in the world have super-rare ‘golden’ blood type

    Scientists truly love it

    News
  • Getty Stock Images
    19 hours ago

    How much money entire human body is worth as shocking ‘body broker’ business uncovered

    25 body brokering companies were identified in the US in 2017

    News
  • Alpha News
    20 hours ago

    Forensic expert shares ‘significant’ detail in Renee Good’s hands before she was fatally shot by ICE officer

    There's a bit of information many of us may have missed

    News
  • Amanda Edwards/WireImage
    20 hours ago

    ‘Next Albert Einstein’ is 32-year-old woman who turned down $1.1m offer from university

    She's got the big brain but not the moustache

    News
  • SpaceX
    21 hours ago

    How NASA will bring astronauts home after first ever evacuation of International Space Station

    SpaceX and NASA will return Crew-11 to Earth this week after one of the astronauts suffered a medical episode

    News
  • Getty Stock Image
    22 hours ago

    What UK conscription could really look like as five groups most likely to serve first revealed

    Conscripts could be offered major incentives

    News
  • X
    a day ago

    One of world’s richest men donates $10k to ICE agent who fatally shot woman

    Unarmed mother-of-three Renee Nicole Good, 37, was fatally shot by Jonathan Ross last week

    News
  1. 1
  2. 2
  3. 3
  4. >
  • Advertise
  • Terms
  • Privacy & Cookies
  • LADbible Group
  • UNILAD
  • SPORTbible
  • GAMINGbible
  • Tyla
  • UNILAD Tech
  • FOODbible
  • License Our Content
  • About Us & Contact
  • Jobs
  • Latest
  • Topics A-Z
  • Authors
Facebook
Instagram
X
Threads
Snapchat
TikTok
YouTube

LAD Entertainment

YouTube

LAD Stories

Submit Your Content