
Christina Applegate's speech at this year's Emmy Awards has sparked an important conversation around multiple sclerosis, as people learn more about the symptoms and risk factors for the condition.
The 52-year-old - known for her roles in Anchorman, Bad Moms and Married…With Children - took to the stage with a cane to present the first Emmy Award last night (15 January) at the Peacock Theatre in Los Angeles.
When the audience got up from their seats to cheer, the actor joked that, by standing up, the crowd was making fun of her multiple sclerosis (MS) disability.
She said: "Thank you so much," before joking: "Oh my god, you're totally shaming me with disability by standing up. It's fine."
Advert
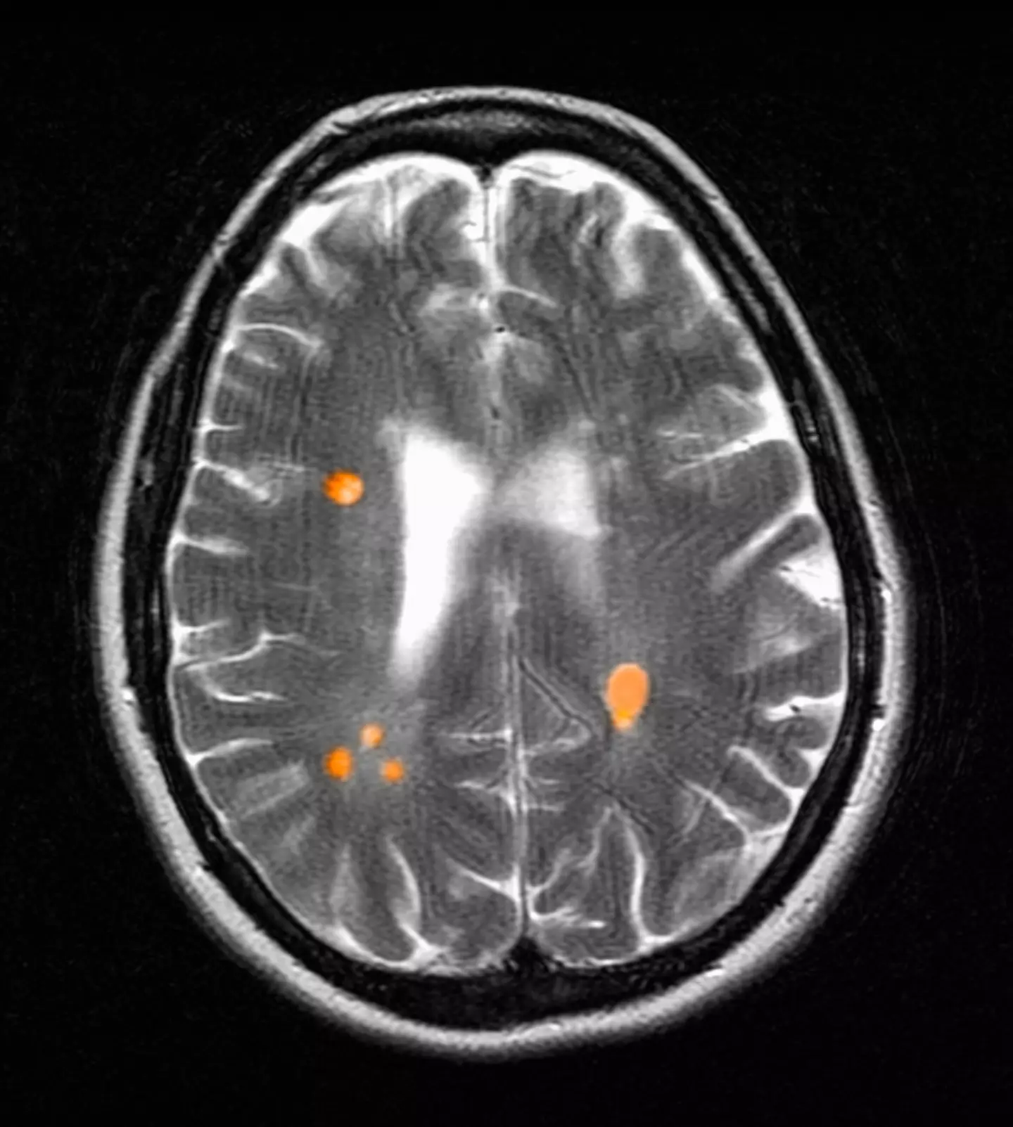
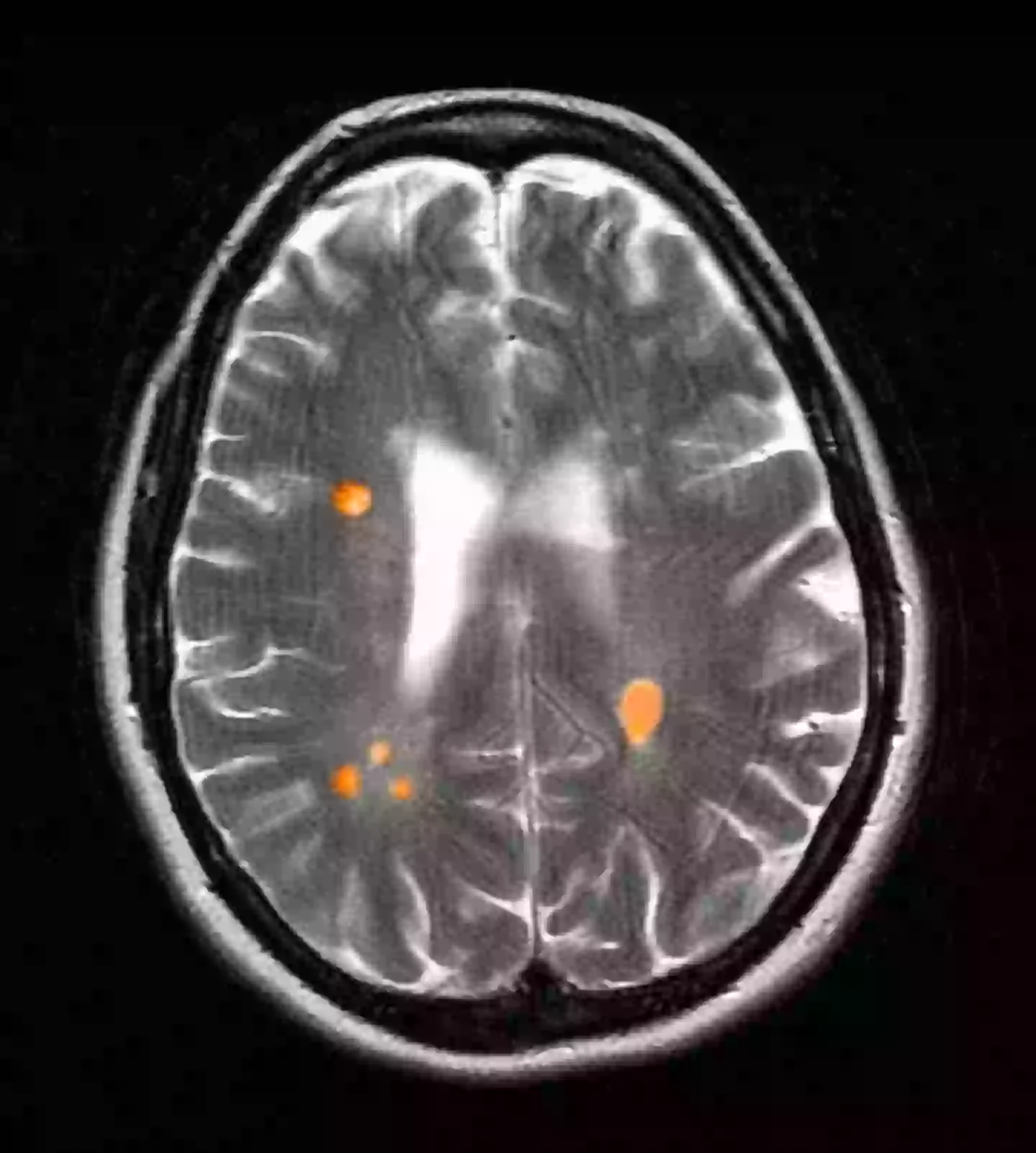
MS is a lifelong condition which affects both the brain and spinal cord, causing a wide range of varying symptoms including problems with vision, arm or leg movement, sensation or balance, muscle stiffness, numbness and problems with thinking, learning and planning.
As with most health conditions, some people are more vulnerable than others and certain factors may increase your risk of developing MS:

Age
While MS can develop at any age and both young and older people can be diagnosed, its onset most commonly happens between the ages of 20 to 40.
Sex
Woman are more than two to three times more likely to develop relapsing-remitting MS.
Advert
"In people who have multiple sclerosis, it is most important to look for signs of a new inflammatory relapse," Dr. Paige Sutton, a neurologist specialising in neuroimmunology and multiple sclerosis for OhioHealth, told Healthline.
"Relapses are typically very obvious and would include new neurologic symptoms that are constant and last for more than 24 hours."

Family history
While it's not deemed to be hereditary, if an immediate member of your family has MS, you are at a higher risk of developing the disease.
Advert
For instance, according to MSTrust, you have a one in 67 chance of developing the condition if your parent has it, compared to a one in 330 chance if no one in your family has it.
Race
White people, especially those of Northern European descent, are at highest risk of developing MS.
However, experts now believe that more Black people have the condition than previously thought, which could be due to the fact Black people are underrepresented in research which can make it hard to get the full picture.

Climate
MS is shown to be more prevalent in areas with temperate climates, such as Canada, the northern United States, New Zealand, southeastern Australia and Europe.
Other factors:
- Lack of Vitamin D
- A gene on chromosome 6p21
- Obesity
- Other autoimmune disorders, including thyroid disease, pernicious anemia, psoriasis, type 1 diabetes and inflammatory bowel disease
- Smoking

Advert
While MS is not curable, there are treatments out there to manage the symptoms.
Short courses of steroid medicine can be used to speed up recovery in the event of short-term relapses, meanwhile treatment is also available to reduce the number of relapses using medicines called disease-modifying therapies.
If you’re living with MS and need emotional support or information about the disorder, call MS Society’s Helpline for free Monday to Friday 9am to 7pm (except bank holidays) on 0808 800 8000 or visit their website