
Visiting the dentist can often be a little unnerving for most people, however, if you brush your teeth twice a day and cut back on sugar, everything should be okay.
As you can imagine, not every patient who sits down in the dentist's chair has an easy time, with some unlucky people forced to endure a variety of needles and drills shoved into their mouth.
But should you be feeling a little uncomfortable about your next trip to the dentist it might be time to look away, as an Australian dentist has shared a series of painful stories about the most 'terrifying' things he's witnessed on the job.
Dr Sam Koh, who is a dentist at a dental clinic near Melbourne, Australia, recently spoke to 7news about some of the worst cases he's come across as a dentist - which include some of most horrifying cases of DIY dentistry you can imagine.
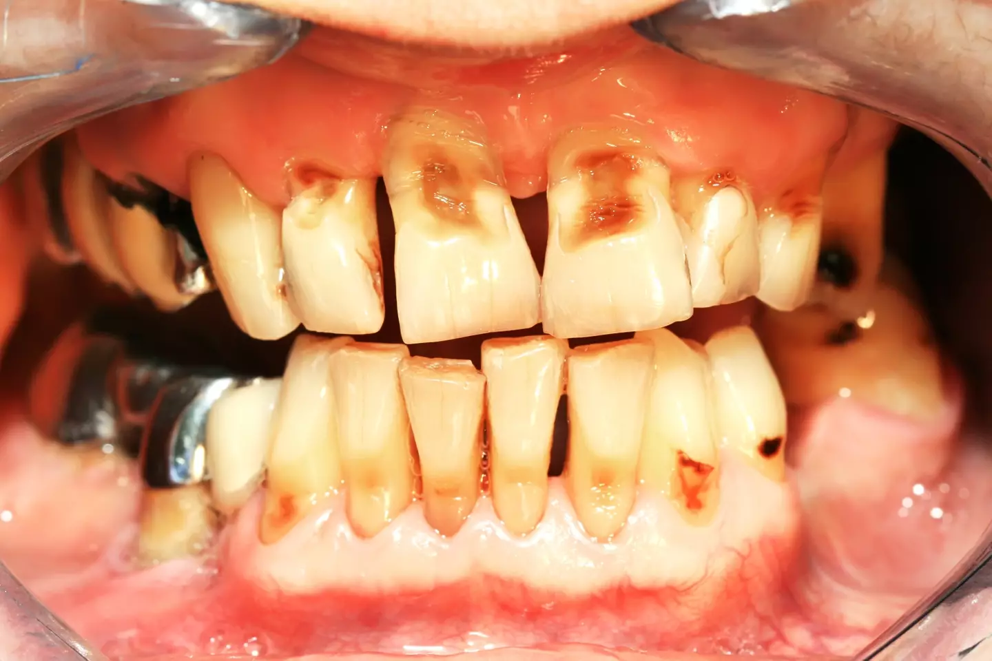
Recalling three cases in particular, Koh explained that one of them featured a man who rocked up at his practice with his mouth held together by plaster mesh and dental glue.
Advert
"Growing up he would have infections and abscesses. He would pop them and never get any treatment," he said.
Koh then went on to add that the man had been using this at home quick-fix for the best part of 12 months and had been in 'constant pain' - which is the least surprising part of the story.

Another case of a DIY dental disaster came from a man who had fixed his teeth together with 'temporary glue' as a way to combat the impact of severe gum disease.
"His teeth were all loose and able to move," Koh added, saying the glue had been used to keep the front teeth within the man's mouth.
Advert
Now, you may be thinking that these are only the extreme worst case scenarios and therefore unlikely to happen in your mouth.
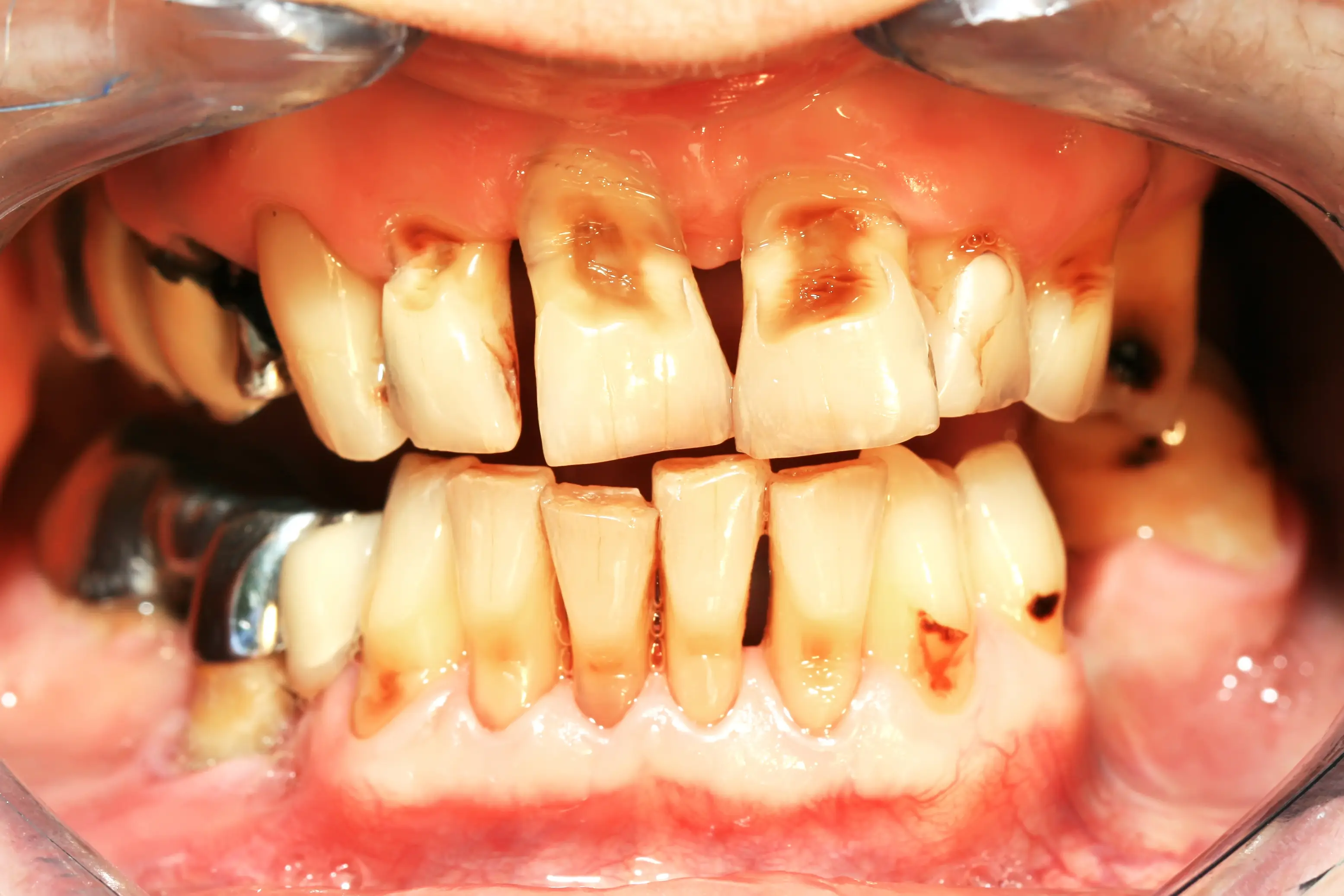
But the bad news is that the third of Dr Koh's case involves a 22-year-old, who should in theory have pretty healthy teeth.
Unfortunately the dentist would discover that every single one of the man's teeth where infected to the point where they had to be extracted from his mouth.
"His mouth was always swollen and riddled with abscesses," Koh added.

Advert
Fortunately the patient has since been able to change 'his life around' following treatment, but the story serves as a stark reminder of what can happen if you overindulge on sweets and don't follow adequate dental care.
So what can be done to make sure you don't end up in extreme pain with your teeth?
Besides the daily two minutes of brushing twice a day followed by flossing routine, Koh recommended that toothbrushes should be swapped out every three months.
The time and order of which you brush your teeth is also important - with one dentist urging people to brush before having breakfast, while another highlighted the dangers of using mouthwash straight after brushing.
Topics: Health