
People online have been left in shock after seeing the CT scan of a 10-year-old girl who was infected by a ‘rice-grain’ parasite.
While everyone knows that eating undercooked meat can lead to serious health risks, this case will have left anyone who has seen the horrifying CT scans terrified of the potential consequences.
The case dates back to 2023, when a study was published about ‘Disseminated Whole-Body Cysticercosis’, which is essentially a parasite that has spread throughout someone’s entire body.
Published by medical professionals Mohd Ilyas and Vikrant Mahajan, the pair shared CT scans of the young girl’s legs and brain.
Advert
Their paper describes how the 10-year-old had suffered several ‘tonic-clonic seizure’ episodes which would have left her unconscious.

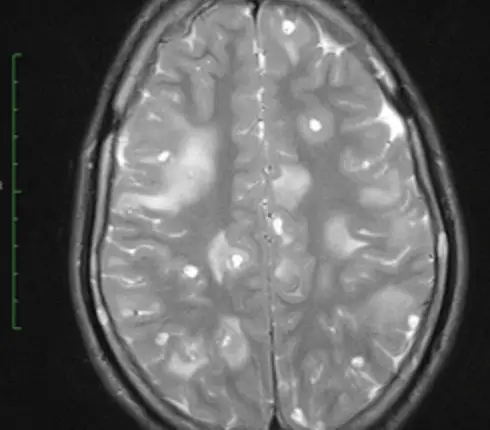
The CT scans show that, as a result of eating the undercooked meat, the girl’s brain and legs were full of parasites, leading E.R. Doctor Sam Ghali M.D. to post them to X (formerly known as Twitter), calling them ‘one of the craziest CT scans [he’s] ever seen’.
This then caused her seizures due to ‘innumerable’ small lesions all over her brain and the muscles throughout her body.
Ilyas and Mahajan’s paper point to ‘Cysticercosis’, an infection by larvae that can occur when someone ingests faeces or eats undercooked or raw pork.
When eating pork that hasn’t been cooked properly, you can ingest cysts that eventually develop into full adult tapeworms.

This can lead to the tapeworms laying eggs, which themselves release larvae that spread throughout the blood stream.
According to Dr. Sam Ghali, this happens to 50 million people worldwide a year, contributing to roughly 50,000 deaths.
It is noted in the paper that this condition is particularly common in developing countries, particularly Asia and Africa.
This is due to inadequate access to sanitation, which can lead to poor hygiene, per Ilyas and Mahajan’s paper.
The CT scans made their way onto the r/Parasitology subreddit, with the top comment reading: “Im speechless....poor baby.”

Another comment was confused by what they were looking at outside of the fact it was bad, to which another replied: “Yes. Every single shred of muscle visible on that scan is infested. It’s shocking.”
A third commented: “The fact that humans can survive this is insane. But I think I'm gonna be sick...”
Thankfully, for those worried about the 10-year-old, the paper states that her condition had ‘clinically’ improved.
This followed a series of oral steroids and antiepileptic medications, which thankfully appears to have cleared up her medical worries.