
A big fear for some people, MRI machines are something of a marvel to others.
Standing for Magnetic Resonance Imaging, the scanner takes detailed pictures of the inside of your body. And I mean, come on, don’t we all want to know a bit more about what things look like in there?
Well, as well as the scans being used commonly for health reasons, like helping to diagnose conditions, they are also used for science. In the name of that, one couple even decided to hop in one and get down to it to show what really happens with our bodies when we have sex.
But they’re not the only ones to do some less-than-usual things inside an MRI machine, with all sorts of weird and wonderful stuff going on.
Advert

Giving birth
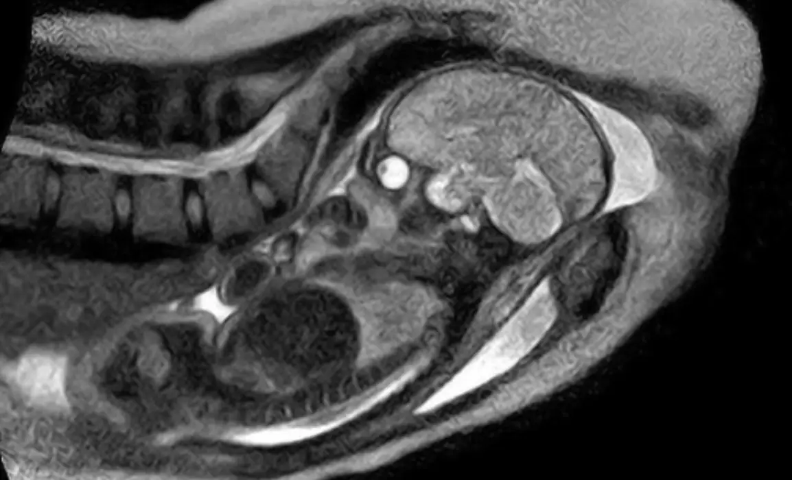
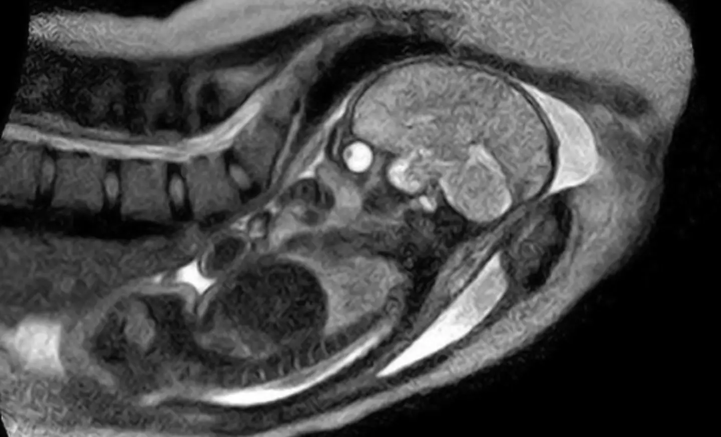
While it’s not such a ‘strange’ thing in itself, choosing an MRI scanner as the location for giving birth is rather, well, unique.
In 2010, a German woman welcomed her baby from within the machine, with 3D pictures of her womb being captured the whole time.
Amazingly, doctors could even watch how the baby’s head changed shape as they moved from the birth canal and then down the birth canal towards the entrance to the vagina.
Snakes on the loose
In case the big, tube-like scanners weren’t daunting enough for some people, others add some extra ‘friends’ into the mix.
The likes of snakes and tarantulas are a huge fear for many and often elicit a strong physical response, from withdrawing and squirming to running and screaming. And in one Israeli study, brave volunteers took a snake called Nachshon into the scanner with them as the machine took scans of their brains.
“We are very grateful to Nachshon for inducing intense fear in the participants of our study,” said one of the lead researchers, Yadin Dudai, in a video.
Another study even saw volunteers tricked into thinking that they had a live tarantula in a box with their feet, with their brains similarly lighting up depending on how much fear they felt.

Pooping pics
Now this one takes a whole different kind of bravery.
MRI Defecography is a legitimate health procedure used to assess pelvic floor and rectal function.
Basically, the patient is prepared with a special ultrasound jelly and a catheter, as their bowel movement is captured while inside the scanner. This can help to diagnose causes of constipation, pelvic organ prolapse and other bowel problems.
Do ya like jazz?
To get a better understanding of what's going on in a musician's mind when they are able to improvise a whole concert-length piece of work, a specialist chucked a few in there.
Charles Limb, a hearing specialist at John Hopkins, had jazz pianists and rappers go inside a scanner and perform as he watched how their brains worked.
He found that those who improvise the most are almost able to shut off, in some way, parts of their brains that handle self-monitoring. Essentially, they're able to literally not worry if they mess up.

Robo-Dino beating
Now this one is a little odd, but the reasoning makes some kind of sense.
Back in 2013, before AI and robots seemed as ever-present as they do now, researchers wanted to see if humans could feel empathy towards robots.
So, they put participants inside an MRI machine and made them watch videos of both humans and robotic dinosaurs.
These 'subjects' were then stroked or tickled, but also beaten up and choked. Brain scans suggested people could feel similar empathy for robots as they do for actual people.
Yes, yes, yes, they did this
Some brave souls volunteered to get off inside a machine, in the name of science.
Several studies have had people lie down inside the MRI scanners and stimulate themselves to reach orgasm, with some taking in their own sex toys.
Researchers have found in the past that when people bring themselves to climax, more than 30 brain systems are activated, even including the prefrontal cortex, which is associated with problem-solving and judgment.