
A woman had to have her foot amputated after an ingrown toenail got infected and left her hours away from death.
42-year-old mum Lacey Shadrick said she got ingrown nails about once a week and would usually treat them by herself at home, but when one of the ingrown nails got particularly painful she spotted a 'blister' on it.
Deciding to go and see a doctor while visiting a family member in hospital in September 2024, the South Carolina woman was told that she had a soft tissue infection.
Her toe was 'cut' and she was put on a course of antibiotics, but as Shadrick is diabetic they affected her differently and the infection continued to spread.
Advert
Several days later, the woman was told her toe had gone gangrenous and she'd need to have it amputated as she was just hours away from 'losing her life', getting it removed on 4 October, 2024.

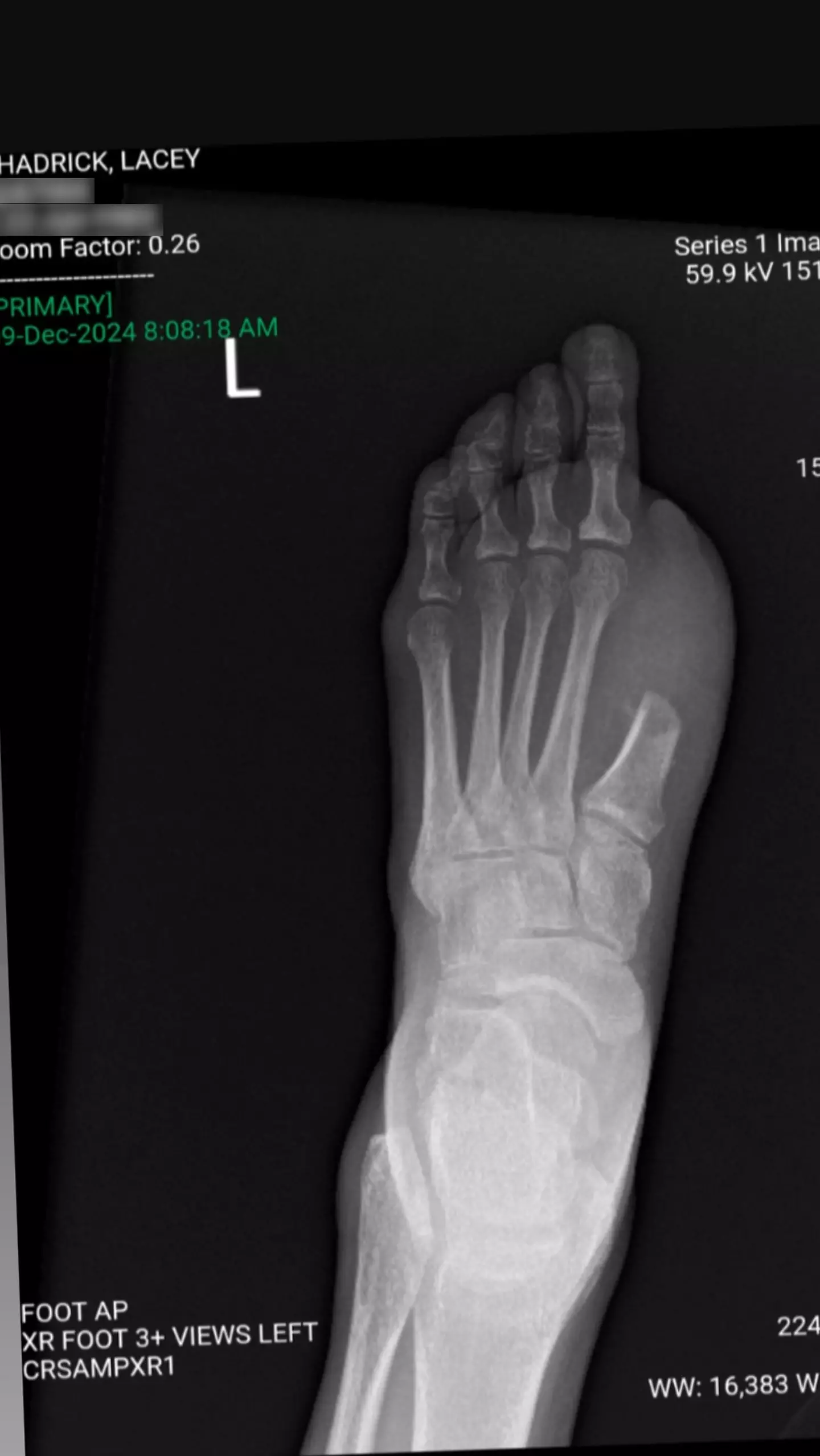
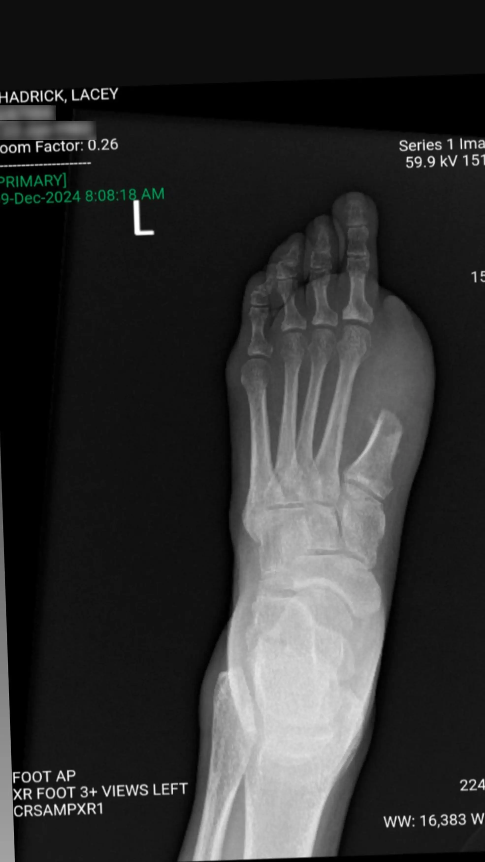
Even after having the toe amputated, the infection continued to get worse and on 11 April, 2025, Lacey had to have a transmetatarsal amputation which is where all toes and half of the foot are amputated.
The woman is now in a wheelchair and will need to have a prosthetic foot fitted to have 'any chance of walking', and has urged people to 'be careful with their feet' and take any issues 'seriously' so they don't end up like her.

Advert
She said: "When the MRI results came back, [the doctor] flew into my room and he said 'we're cutting your toe off in the morning. You have gangrene'. I didn't even know gangrene was still a thing.
"I was septic and I was really close to losing my life. The infection was in my bone marrow. I was laying there thinking 'what are my kids going to do if I die'.
"It was a massive shock. Normally at home I'd just dig it out and put a band aid on it and that's all I had to do."

Lacey was told in April that she had osteomyelitis, a bone infection which is usually caused by bacteria and can lead to bone death.
Advert
She was informed that by walking while her foot was infected, she'd 'crushed' all of her toes and amputation of her foot was the only option.
The mum said they had 'started looking really weird' and that she couldn't move them anymore, which had people telling her that her toes were broken but she suspected there was something more to it.
Scans revealed her 'foot was a mangled mess on the inside', and she's now encouraging people to 'trust your body' if they think something is wrong.

Lacey said: "Take things seriously and advocate for yourself because I would not be here if I did not. You know your body, trust your body. If you feel like you're not being heard, make sure to find someone that will.
Advert
"Be careful with your feet as we take them for granted. I've seen the horror stories when you get a pedicure at the salon. Even getting my feet done is something I used to do years ago and I never even thought it would happen to me sitting in that chair.
"It's something women never really think about. Make sure you get your pedicure at places that are clean."