
A timeline revealing what happens to your body after you quit vaping has resurfaced after the government announced a date for the ban of disposable vapes.
Vaping has become an epidemic, and there were rumours that the government would announce that all disposable and single-use vapes were to be banned, which were confirmed earlier this week.
Sir Keir Starmer's Labour government took it upon themselves to complete what Rishi Sunak started in this respect, making it clear in a recent press conference that he wants to 'take action' against smoking.

What is changing with vaping?
Now, with the Tobacco and Vapes Bill, measures have been put in place to restrict smoking in public areas, and forever change how tobacco-based products are marketed, particularly to younger people, as more are taking up the habit.
Advert
A government spokesperson told LADbible: “The Tobacco and Vapes Bill will stop vapes from deliberately being branded and advertised to appeal to children, including by regulating flavours, packaging, and changing how and where they are displayed in shops,
“Ministers are reviewing proposals to restrict the sale and supply of disposable vapes more widely before setting out next steps.”
When will vaping be banned?
The Department for Environment, Food and Rural Affairs (DEFRA) confirmed yesterday (24 October) that a ban on sale and supply of single-use vapes in England will come into effect on 1 June 2025.
So, with shops quickly emptying their shelves, what will happen if you throw your vape away for good, and call it quits on 31 May next year?
Advert

Here's a timeline that outlines all the health benefits you could get from throwing those plastic sticks away:
20 minutes after quitting
It takes less than half an hour to reap the rewards of giving the bad habit up, as project manager at Med Alert Help, Nikola Djordjevic MD explained that 'your heart rate returns to normal, your blood pressure drops, and your circulation starts to normalise', in this time.
Your breathing will also improve, as health and wellness expert for Maple Holistics, Caleb Backe, highlights.
24 hours after quitting
The risk of heart attack decreases 'after just one day,' says Djordjevic, adding that your blood pressure and cholesterol will also return to normal.
Advert
Though you may experience a number of withdrawal symptoms at this point, she explained that, 'thanks to the lowering of blood pressure, rising blood oxygen levels, and reducing the negative influence on cholesterol levels and the formation of blood clots', your health will benefit hugely.

Months after quitting
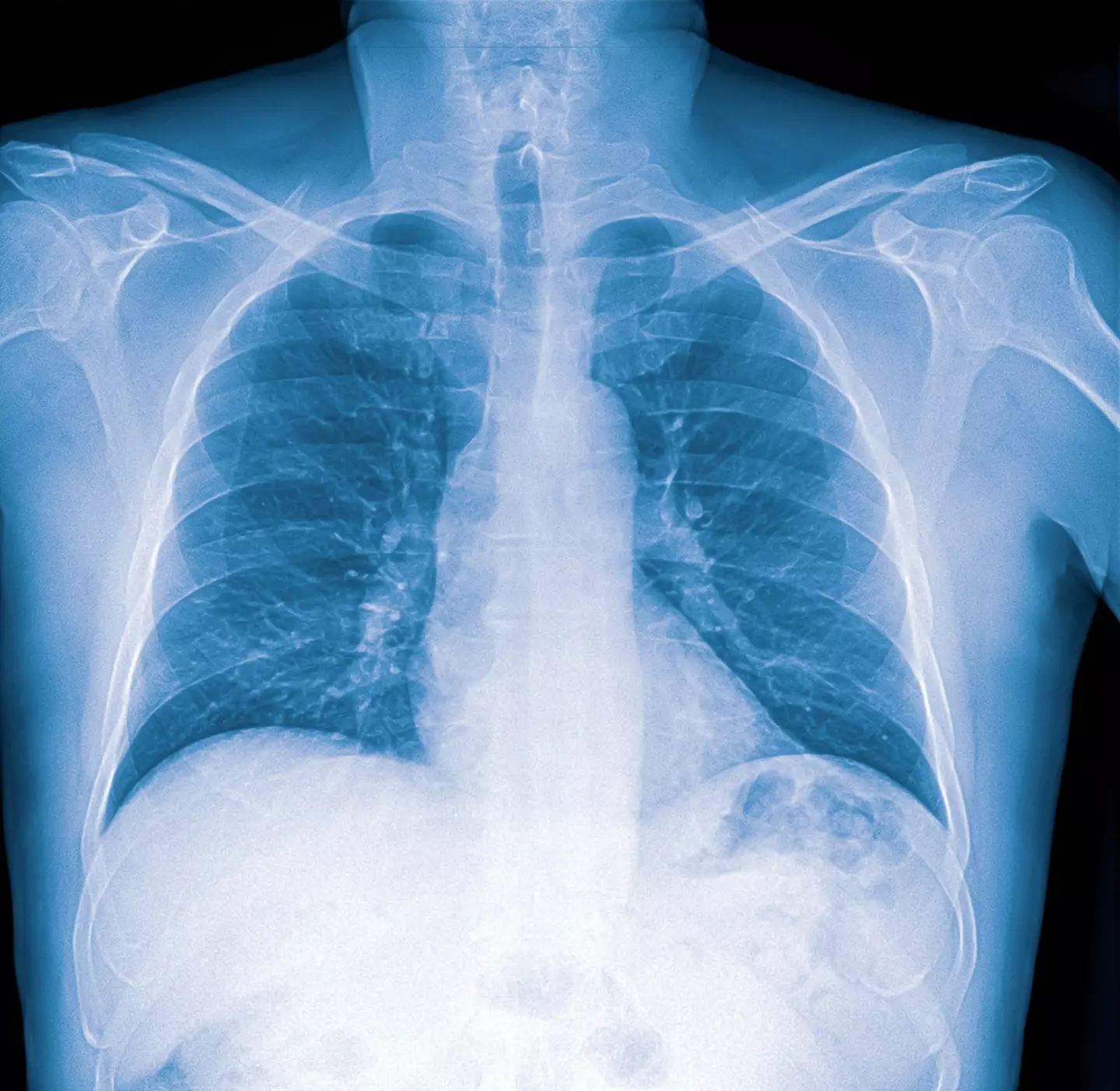
The long-term benefits will start to shine through, as nicotine takes about three days to leave your system, and within a month, your lungs will begin recovering, according to Djordjevic.
"There’s noticeably less shortness of breath and coughing," she highlighted.
Advert
The health expert further explained: "After nine months, lung health improves significantly thanks to the renewal of microscopic hair-like structures inside the lungs that help push out mucus and fight infections."
You may be fighting some withdrawal symptoms at this point, though they should be minute and far less noticeable than before.
The health risk of vaping
There is still a lot of research needed on the link between vaping and cancer, as e-cigarettes are still fairly new in the health realm.
According to Cancer Research UK, e-cigarettes can be helpful in getting cigarette users to quit and decrease the chances of them getting cancer, but it is strongly advised that non-smokers clear clear of vapes of any kind.
Topics: Cancer, Health, Lifestyle, Science, UK News, Vaping, Politics