
Brain scans of a teenager who is believed to be the youngest person to ever be diagnosed with Alzheimer's show the damage inflicted by the disease.
The unnamed patient was just 19-years-old when doctors in China determined that he had the progressive neurological condition which around 1million people in the UK live with.
According to the NHS, Alzheimer's disease is most common in people over the age of 65 - however, around 1 in every 13 people are diagnosed before they hit this milestone.
People who fall into this category suffer from what is known as early-onset Alzheimer's disease.
Advert
The NHS explains: "The symptoms of Alzheimer's disease progress slowly over several years. The rate at which the symptoms progress is different for each individual.
"Anyone with Alzheimer's disease whose symptoms are rapidly getting worse should be seen by a doctor so these can be managed. There may be reasons behind the worsening of symptoms that can be treated."
'Minor memory problems' are usually the first red flag, and this forgetfulness continues to become more severe as time goes on.
Earlier this week, a leading dementia expert claimed that there are three things people can do to try to reduce their risk of developing the disease.

Advert
In 2022, doctors in China identified the teenage lad as the youngest person to ever be diagnosed with Alzheimer's, with his symptoms beginning when he was 17.
The now 19-year-old, from Beijing, experienced a 'gradual' decline in his memory over two years, as he frequently forgot what he did the previous day, routinely forgot where he had put his things and was unable to retain any information he was being taught in class.
This ultimately left him unable to finish his high school studies, but he was still able to live alone until he was sent to a memory care clinic for 12 months.
There, experts took a closer look at his brain while conducting memory-related tests on the teenager.
These found that his overall memory score was 82 percent lower than his peers of the same age, while his immediate memory score was 87 percent lower.
Advert
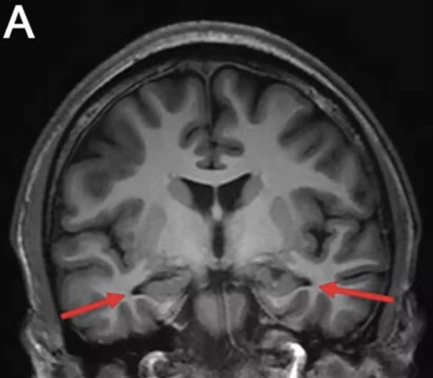
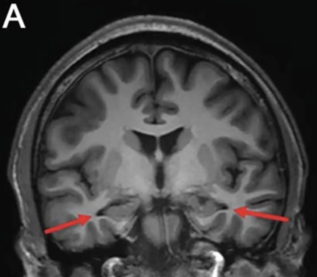
Brain scans carried out in 2022 then confirmed doctors fears that the lad had early-onset Alzheimer's, as they revealed the impact that the devastating disease had upon his brain.

The MRI results showed that his hippocampus - which is the part of your brain responsible for long and short-term memory as well as learning - had shrunk significantly.
On top of this, the 19-year-old's parietal and temporal cortices that are in charge of critical thinking had also visibly reduced in size.
Abnormal levels of amyloid and tau proteins were also found during an analysis of his cerebrospinal fluid.
Advert
These proteins are two of the main thought to interfere with the communication between brain cells in some Alzheimer's cases.
The National Institute of Aging explains that Alzheimer's causes 'widespread damage' to the brain as 'many neurons stop functioning properly, lose connections with other neurons, and eventually die'.
It adds: "Alzheimer’s disrupts processes vital to neurons and their networks, including communication, metabolism, and repair.
"At first, Alzheimer’s usually damages the connections among neurons in parts of the brain involved in memory, including the entorhinal cortex and hippocampus.

Advert
"It later affects areas in the cerebral cortex responsible for language, reasoning, and social behaviour. Eventually, many other areas of the brain and surrounding neurons are damaged and stop working normally. Over time, a person with Alzheimer’s gradually loses their ability to live and function independently. Ultimately, the disease is fatal."
While genetic testing on the boy didn't yield any answers, most early-onset Alzheimer's patients have mutations in their DNA and a family history of the disease.
In the research previously published in the Journal of Alzheimer’s Disease, experts from Capital Medical University said: "Although the patient’s age of onset is very early, he met the diagnostic criteria for probable AD dementia, according to the diagnostic criteria of the National Institute on Aging-Alzheimer’s Association."
The boffins said that he is the youngest person to be diagnosed with Alzheimer's disease with no known genetic contribution.
The youngest person in the UK to be diagnosed with dementia sadly passed away at the age of just 24 and donated his brain to science.
Topics: Health, Mental Health, World News, China