
A British dad discovered he had a tumour the size of a golf ball after doctors had dismissed headaches that would make him 'cry with pain' as just migraines.
Luke Taylor, a civil engineer from Warrington, had been enduring bad headaches and sickness for a decade but was reassured by multiple GPs that he was a healthy young man and that he was simply suffering from migraines.
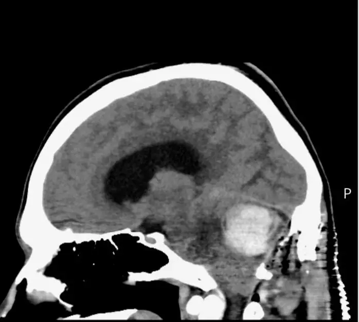
However, when his symptoms became even worse in the summer of 2025, Taylor demanded an MRI test, which tragically revealed that he had a haemangioblastoma brain tumour which was 'bigger than a golf ball'.
He said: "One day, I was fed up with my headaches - they were getting worse and worse - I wanted to cry with the pain.
Advert
"I went to the doctors, and they told me I was having really bad migraines, but that didn't make sense.
"I was being sick, I was in severe pain, and I said I wanted to have an MRI scan."
"I thought I was going to die"

Without emergency surgery and treatment, the young father was told that he could have had days to live, which naturally left him fearing for his life.
He added: "When you get news like that, you go into yourself.
"Your mind races, you don't want to speak to anyone, you think your life is done.
"I was 26 when I was diagnosed. I had the rest of my life ahead of me, I have a daughter, and I wasn't sure how I was going to tell my family.
"I thought I was going to die."

He was forced to undergo a nine-hour surgery within the week but such a delicate process unsurprisingly led to further health complications, as he was left slurring his words and unable to open his eyes, according to his partner Nia Jones.
"He couldn’t dress himself or even cut up his own food"
Doctors quickly discovered that he had suffered a bleed on the brain and he was quickly rushed back in for another emergency surgery, spending another 18 days in hospital before he was eventually released.
After returning home, Taylor had to relearn how to walk, speak and use his hands as his body recovered from the intense stress of the double surgery.
Nia added: "What followed were some of the hardest months. He couldn’t dress himself or even cut up his own food.
"Every day was frustrating, exhausting, and emotional - for both of us - but we were determined to do everything possible to help him recover."

Fortunately in November of last year, he was informed that doctors had managed to remove all of the tumour, with biannual scans planned for the next 10 years to monitor his body and hopefully ensure that the tumour doesn't return.
"I was overwhelmed when they told me the surgery was successful," Luke said.
"I cried my eyes out, I was so happy they got it all."
The family are now raising money for the Brain Tumour charity by completing the National Three Peaks challenge this summer. You can donate here.
Symptoms of a haemangioblastoma brain tumour
According to Macmillan Cancer Support, a haemangioblastoma is a rare, slow-growing tumour which is not cancerous. It can still be fatal and cause issues when the tumour presses on the surrounding brain.
It grows in a part of the brain known as the cerebellum, which coordinates balance, posture and motor learning. Sometimes it can also grow in the brain stem or spinal cord.
Symptoms include:
- headaches
- feeling or being sick
- blurred vision
- problems with coordination or balance
- weakness in an arm or a leg
- drowsiness
- changes in mood and personality
- unusual or jerky eye movements