
I think we've all thought before what it would be like to have superhero powers, and this one lad really needed to answer that 'what if?' question.
In 2014, a then-teenage boy injected himself with mercury in an attempt to give himself superpowers.
The then-15-year-old boy is said to have wanted to emulate Marvel's X-Men superhero Mercury, but instead ended up with painful ulcers that refused to heal.
He is also reported to have allowed spiders to bite him in the hopes that he could become like Spider-Man.
Advert
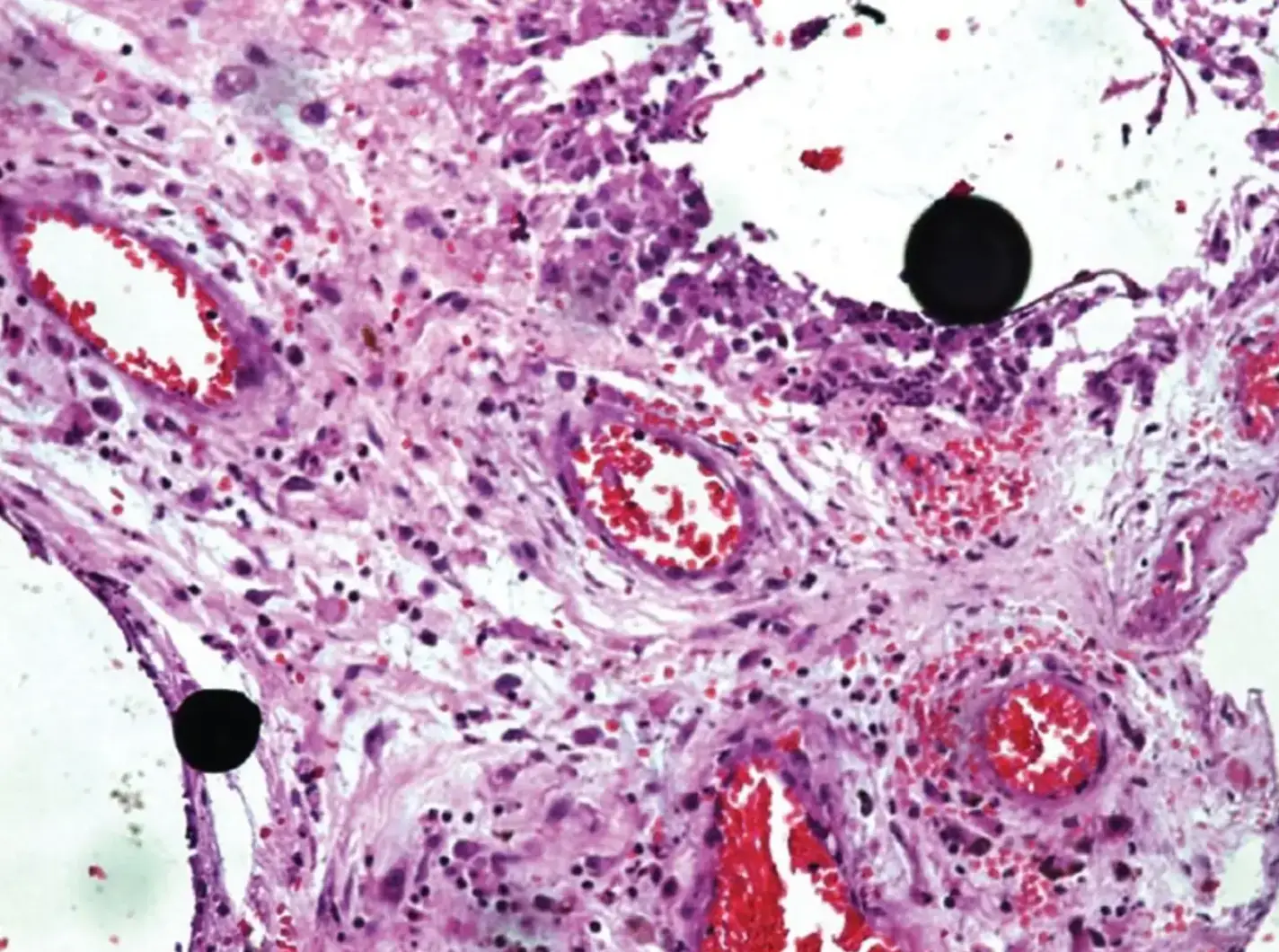
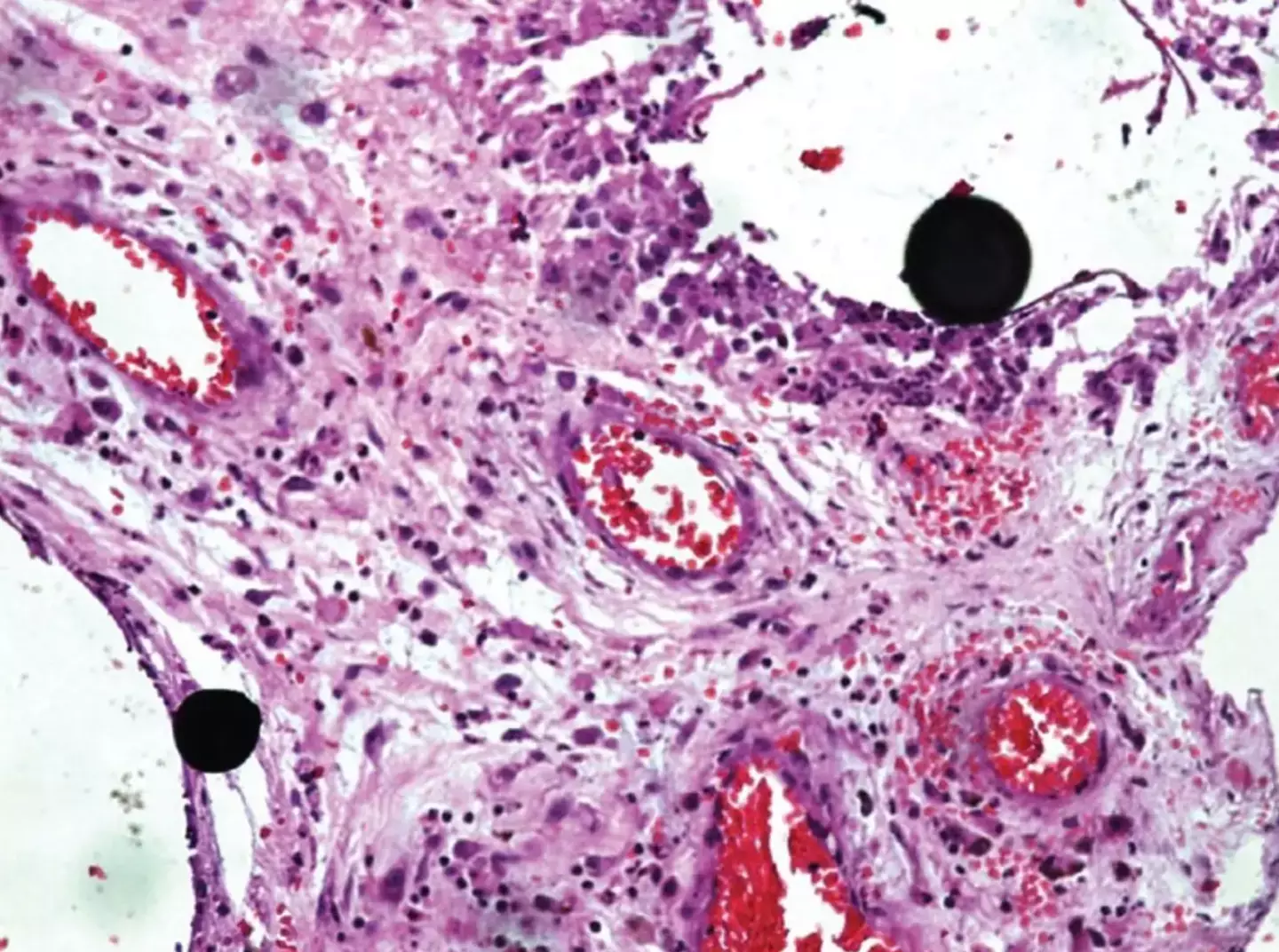
The unusual case was written up in a report in the National Centre for Biotechnology Information, which detailed the injuries the unnamed child was left with after he deliberately injected mercury into his body.
The report states that the boy visited a trauma centre in India with 'multiple non-healing ulcers on the left forearm', 'two months following trauma by a sharp object'.

Medics suspected that substance abuse may have been a factor, so carried out a psychiatric evaluation.
At this stage, the youngster revealed he had intentionally injected himself with mercury he'd managed to get out of a thermometer at least three times.
The report goes on to say the boy was 'inspired' by the Marvel character Mercury, from the X-Men comics franchise, also mentioning a film entitled 'X-Man Wolverine' (most likely 2009's X-Men Origins: Wolverine).
It added: "Interestingly, he had a past history of multiple bites by spiders to simulate Spider-Man.
"Surprisingly, he had no other psychiatric problems and had a normal IQ."
Now aware of what they were dealing with, doctors were able to carry out toxicology examinations to check for mercury levels in the teen's blood.
Fortunately the boy had managed to miss all major blood vessels, meaning he had only injected the mercury just under the skin (or subcutaneously, if you want to use the fancy word).

But the kid wasn't out of the woods yet - the ulcers needed to be cut out, along with the surrounding skin, and he had to undergo 'a split-thickness skin graft'. Thankfully, following the surgery he healed well.
The authors of the report say the patient was monitored for signs of mercury poisoning but in subsequent check-ups was found to be fine.
The report states: "The patient did not develop clinical signs of chronic poisoning, proving that subcutaneous mercury injection has a low risk of systemic toxicity, and that histopathology plays an important role in diagnosis."
It should go without saying... but don't try this at home, kids.