


The recreational drug has quite an interesting effect on the brain

Single-use vapes are now under a ban across the UK

'I recommend this to any man who is not yet ready to lose his hair"

It looks pretty sinister, but it might actually be incredibly helpful

The benefits of the popular bedtime ritual have been called into question

He underwent a specific procedure a few years ago

She accidentally consumed a huge dose of the psychedelic drug

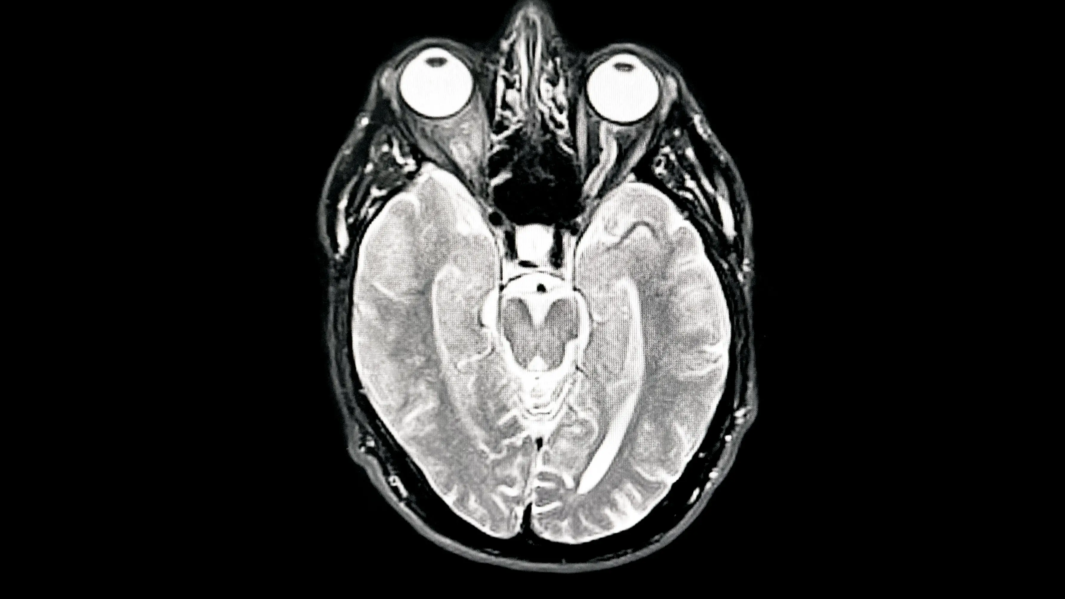
It comes after a young singer, who had been using Ozempic, was diagnosed with a debilitating disease

Lena Paul said there was 'something sad' about the development and explained how it works

If you took a pill every day of your life you'd have to make it to 109 to reach 40,000

The horrifying simulation depicted Victoria Kenny's real-life ordeal

A protein warning has been issued by the consumer health information division of Harvard Medical School
.jpg)
With the use of Ozempic increasing in the last few years, a doctor has spoken about her fears

Doctor Narong Khuntikeo said his advice falls on deaf ears

The live-saving iPhone hack 'takes less than two minutes' to set up

Most of us don't time how long we're on the toilet for, but it could be beneficial for our health

It is a possible side effect of the drug, according to Dr Mike Israetel

As of today (1 June) disposable vapes are banned in the UK

Manchester Vapeman boss Zeb has given his verdict on the government's disposable vape ban

Researchers think it could help with ADHD diagnosis’s

Disposable vapes are now illegal in the UK

The Irish model shared an update with fans about how her long-term partner's health is these days

Chloe Rowland revealed what she experienced after knocking her habit on the head




