
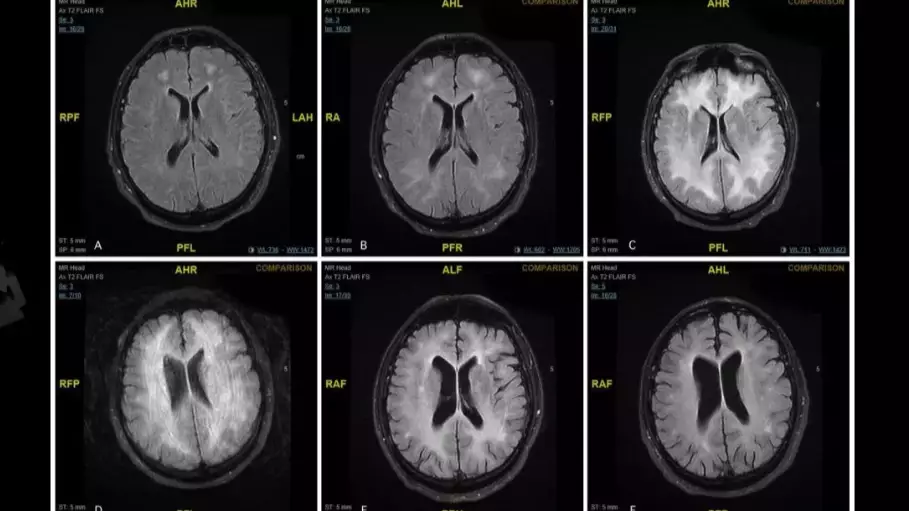
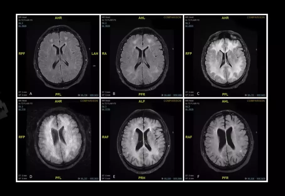
Images have been released that show the effects of cocaine on the human brain and the damage that the Class A substance can do in a very short amount of time.
The brain scans show how cocaine can 'eat away' at the brain, sometimes leaving the user with disabilities and - in extreme cases - dead.
The patient from whom the scans were taken was suffering from a rare but severe side-effect of cocaine use called cocaine-induced toxic leucoencephalopathy.
The 45-year-old man, a regular cocaine user, was brought into a hospital in Mata by his parents because he was confused and acting strangely. That was what tipped medics off to the possibility that he was experiencing toxic leucoencephalopathy.

He has since made a full recovery, but doctors decided to share the scans from this case to raise awareness.
Dr Ylenia Abdilla, who treated the anonymous man at the hospital in Msida, said: "It's a rare disorder which can cause significant disability.
"This case study is intended to increase awareness of this condition.
"The prognosis is generally poor and can be rapidly fatal, however some rare cases recover fully, as is seen in this case report."
Dr Abdilla and her colleagues at the Mater Dei hospital treated the man after he was brought to them by concerned parents, two or three days after the last time he'd taken cocaine.

They decided to bring him in after he had been confused for two days. The doctors spotted that his pupils were 'briskly reactive to light' and that he was 'not cooperative, unable to perform simple tasks and was not following commands'.
That's when they sent him for MRI scans.
The white matter in his brain was discovered to have been damaged, which led to their diagnosis.
Dr Abdilla continued: "It may present in several different ways.
"These include an altered level of consciousness, confusion, impaired language, altered vision, fever or spasticity.
"Prognosis is poor - the condition progresses rapidly and often leads to death.
"Rarely it has been reported to result in complete recovery, as in our case."

After extensive treatment including steroids, antibodies, and a plasma exchange, he was sent to a rehab facility where he showed signs of improvement.
Four months later, his recovery was so successful that he was allowed home. In the intervening year, he has stayed clear of drugs and his yearly follow-up showed that while there were still 'persistent white matter changes' in his brain, neurological tests were normal.
Dr Abdilla's team said: "Apart from some complaints of low mood, he was fully independent and had returned to his previous functional status."
Topics: Science, World News, Interesting, Weird