
It's been drummed into us that we need to triple check how people like their eggs in the morning by Dean Martin, but the legendary singer didn't place a lot of emphasis on how long we should leave the bacon in the pan.
We all have our own preferences when it comes to the texture of the breakfast staple, but one thing you need to completely avoid is undercooking it.
Otherwise, you might end up like this bloke who didn't like to leave his bacon sizzling for long enough and paid the price.
If you're eating your breakfast right about now, be warned - you might lose your appetite.
Advert
The 52-year-old, from the US, headed to the hospital after being crippled by migraines for a prolonged period of time.
He explained that although he had suffered with them already, the pain had really gone up a notch and they were now occurring on an almost weekly basis, while his usual medication didn't touch the sides anymore.

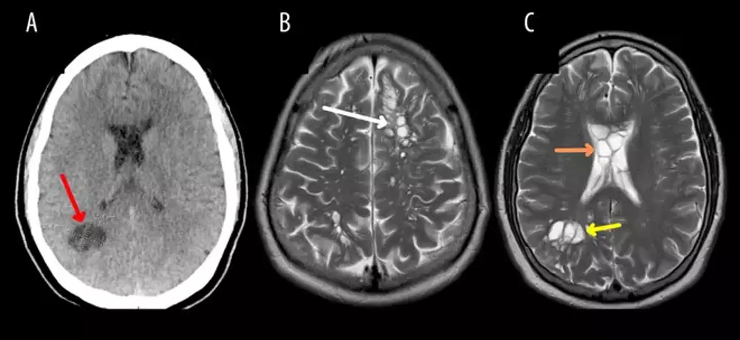
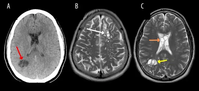
Medics then carried out a CT scan on the man, where they chillingly found a flurry of tapeworm larval cysts in his brain - which can cause cysticercosis.
This parasitic tissue infection commonly affects the brain, muscle or other tissues and typically causes symptoms such as headaches, seizures, confusion, difficulty with balance - and can be fatal.
Advert
After quizzing the patient, doctors concluded that he had contracted the tapeworm cysts because of 'improper handwashing' - having got the initial tapeworm from undercooked bacon. Yikes.
According to an article published in the American Journal of Case Reports discussing the man's illness, he also 'admitted to a habit of eating lightly cooked, non-crispy bacon for most of his life'.
Medics believe the man infected himself by chowing down on the undercooked pork repeatedly, although they noted that it can 'only be speculated' that his 'eating habits' and improper handwashing caused it.
They added: "Our patient’s lifelong preference for soft bacon may have led to instances of undercooked bacon consumption. But this would have caused him to develop taeniasis, an intestinal tapeworm, and not cysticercosis."

Advert
Eating pork that isn't cooked enough cannot directly give a person cysticercosis, but it can cause a tapeworm infection if it is contaminated with cysts of Taenia solium - also known as the pork tapeworm - and it hasn't been in the pan long enough.
Experts explained that the condition is extremely uncommon in the likes of the UK and the US, as pig meat undergoes thorough testing before it ends up in the supermarket.
The authors of the report concluded: “It is very rare for patients to contract neurocysticercosis outside of classic exposures or travel, and such cases in the United States were thought to be non-existent."
The bloke was admitted to hospital where he was treated with anti-parasitic and anti-inflammatory medication.
Thankfully, he has made a full recovery - but I bet his daily bacon butties are off the cards now.
Advert
The doctors who saved his bacon said he was discharged after two weeks while showing a 'regression' in lesions on his brain and an improvement in his headaches.
Topics: Food And Drink, Health, Weird, US News