
Doctors have warned not to hold in your sneeze for too long after a man tore a hole in his throat.
We've all been there - you're sat in pin drop silent room, full of people, and you're afraid of letting that atomic sneeze rip.
But it seems that being polite isn't the way to go with this one.
Some people don't have the option to hold theirs in after one teenager from Texas has an incredibly rare condition that sees her sneeze 12,000 times a day.
But what can happen if you do hold onto your sneeze is truly frightening.
Advert
An unnamed Scottish man attempted to ease off a bout of coughing by pinching his nose and closing his mouth while driving.
The intensity of his sneeze was so mega that it tore a 0.08 inch hole in his windpipe.

After being rushed to hospital, doctors said that the man suffered from allergic rhinitis, what many of us refer to as hay fever, when you're allergic to pollen.
Dr Rasads Nisirovs, of the University of Dundee, has warned that by holding in a sneeze, the build up can be up to 20 times higher than normal.
Advert
The doctor said: “Everyone should be advised not to stifle sneezes by pinching the nose while keeping the mouth closed as it can result in tracheal perforation.
“Conservative management of tracheal tears is an option in clinically stable patients not requiring mechanical ventilation with small tracheal tears.
“The patients must be closely monitored as inpatients for 24 to 48 hours for any deterioration.”

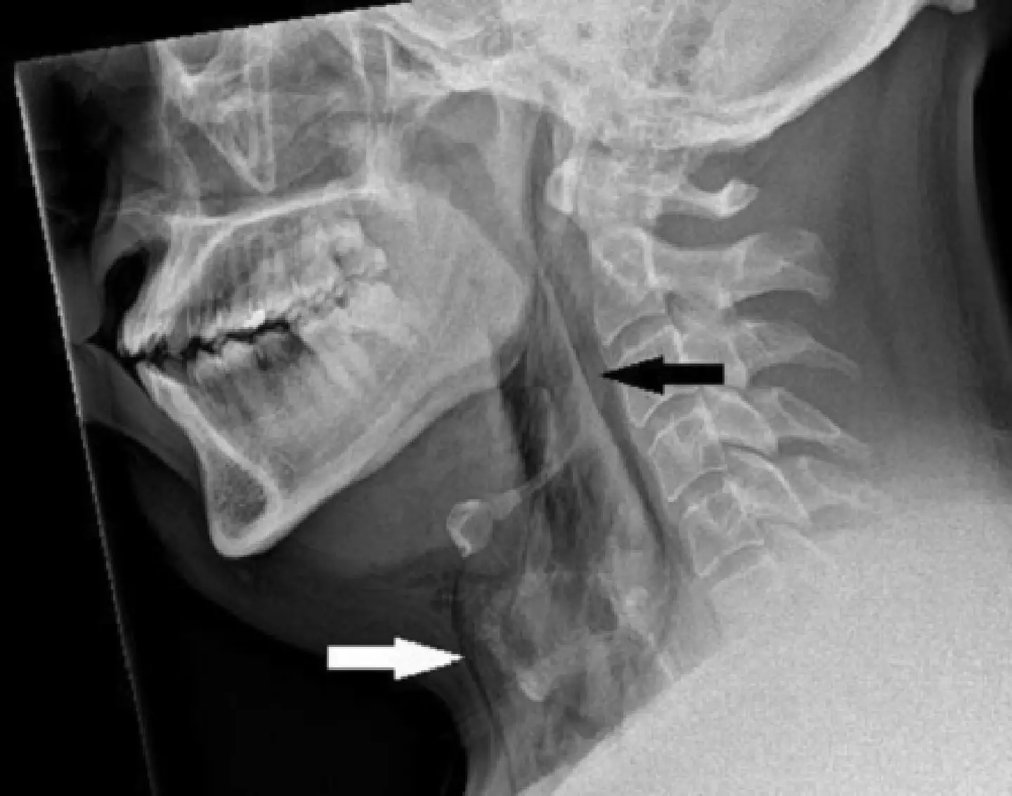
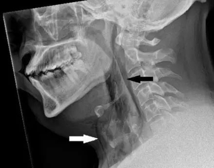
In this month's British Medical Journal (BMJ) report, titled 'Spontaneous tracheal perforation following a sneeze', they explained: "A man in his 30s, with a background of allergic rhinitis, experienced severe neck pain immediately after an episode of sneezing when he stifled the sneezes by pinching his nose and closing his mouth. This took place while he was driving a car with a seat belt on.
Advert
"On presenting at the accident and emergency department, he denied any dyspnoea, dysphonia or dysphagia.
"On examination, his neck was swollen bilaterally, with mild crepitus on palpation and a reduced range of movement of the neck."
The hospital discharged him after two days of monitoring, with painkillers and hay fever drugs.
It was reported that the tear healed in five weeks.
"No antibiotics were administered. The cardiothoracic surgeons were contacted for their opinion, and it was felt that no surgical intervention was indicated," they added.