


Aisling McCarthy shared some advice for people coming to the end of their Ozempic journey

The UK health agency warns cases of new Covid strains are rising

The planetary health diet has been said to be extremely beneficial to your long-term health

Kate Shemirani's stance on her daughter Paloma's treatment were described as 'incomprehensible' by a coroner

Contrary to belief, it doesn't impact your health

The personal trainer opened up about his relationship with alcohol

Dr Zainab Mackie shared some dental advice online

The mum believes the weight loss drug exacerbated her condition

Mosquito eggs capable of carrying dengue, chikungunya and Zika have been found in the UK

Experts have warned of the potential health effects of gooning

Which side do you think will prevail?

Some of the items in the kit are more important than the rest

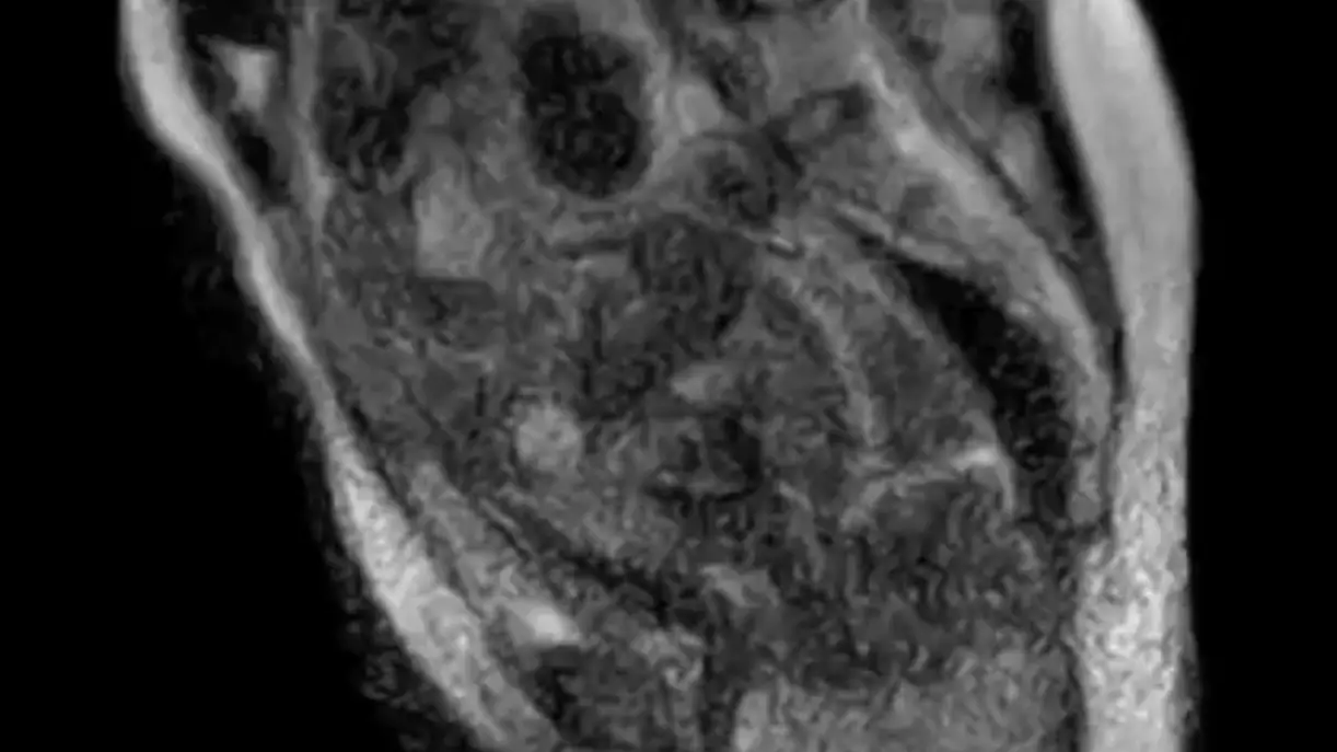
The condition impacts fewer than twelve in 100,000 people

With temperatures expected to drop soon, the time to put your central heating on is approaching

Royal Caribbean has stringent protocols in place for when illnesses begin spreading on their cruise ships

Dry January is coming up

The fitness influencer has come under fire after launching the Killer Bar as part of a campaign on food packaging

There is such a thing as taking too much

The family are sharing their story in support of Great Ormond Street Hospital's Children’s Cancer Centre appeal

Eleanor Noyce, 27, believes there is a 'increasing perception' about ADHD

Both men and women get it

Dan Hancock, better known online as The Mental Health PT, urged anyone 'thinking about picking up a drink again' to listen

He noticed both physical and mental changes




